Digital Database for Screening Mammography

Volume: benign_13 Case: C-0493-1


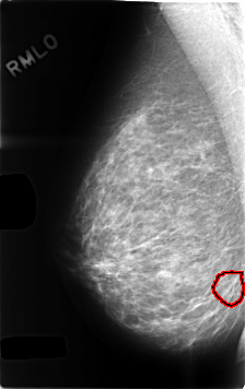
C_0493_1.RIGHT_MLO

C_0493_1.LEFT_MLO

C_0493_1.RIGHT_CC

C_0493_1.LEFT_CC

ics_version 1.0
filename C-0493-1
DATE_OF_STUDY 8 4 1994
PATIENT_AGE 51
FILM
FILM_TYPE REGULAR
DENSITY 2
DATE_DIGITIZED 2 3 1999
DIGITIZER LUMISYS LASER
SEQUENCE
LEFT_CC LINES 4560 PIXELS_PER_LINE 2848 BITS_PER_PIXEL 12 RESOLUTION 50 NON_OVERLAY
LEFT_MLO LINES 4576 PIXELS_PER_LINE 2872 BITS_PER_PIXEL 12 RESOLUTION 50 NON_OVERLAY
RIGHT_CC LINES 4568 PIXELS_PER_LINE 2936 BITS_PER_PIXEL 12 RESOLUTION 50 OVERLAY
RIGHT_MLO LINES 4624 PIXELS_PER_LINE 2912 BITS_PER_PIXEL 12 RESOLUTION 50 OVERLAY

FILE: C_0493_1.RIGHT_MLO.OVERLAY

TOTAL_ABNORMALITIES 1
ABNORMALITY 1
LESION_TYPE CALCIFICATION TYPE AMORPHOUS DISTRIBUTION CLUSTERED
ASSESSMENT 4
SUBTLETY 2
PATHOLOGY BENIGN
TOTAL_OUTLINES 1 
BOUNDARY
FILE: C_0493_1.RIGHT_CC.OVERLAY

TOTAL_ABNORMALITIES 1
ABNORMALITY 1
LESION_TYPE CALCIFICATION TYPE AMORPHOUS DISTRIBUTION CLUSTERED
ASSESSMENT 4
SUBTLETY 2
PATHOLOGY BENIGN
TOTAL_OUTLINES 1 
BOUNDARY