![]() |
![]() |
![]() |
![]() |
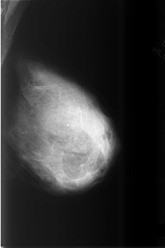
ics_version 1.0 filename C-0505-1 DATE_OF_STUDY 22 12 1998 PATIENT_AGE 57 FILM FILM_TYPE REGULAR DENSITY 4 DATE_DIGITIZED 25 2 1999 DIGITIZER LUMISYS LASER SEQUENCE LEFT_CC LINES 5728 PIXELS_PER_LINE 3872 BITS_PER_PIXEL 12 RESOLUTION 50 NON_OVERLAY LEFT_MLO LINES 5784 PIXELS_PER_LINE 3856 BITS_PER_PIXEL 12 RESOLUTION 50 NON_OVERLAY RIGHT_CC LINES 5800 PIXELS_PER_LINE 3936 BITS_PER_PIXEL 12 RESOLUTION 50 OVERLAY RIGHT_MLO LINES 5872 PIXELS_PER_LINE 3704 BITS_PER_PIXEL 12 RESOLUTION 50 OVERLAY |
FILE: C_0505_1.RIGHT_MLO.OVERLAY TOTAL_ABNORMALITIES 1 ABNORMALITY 1 LESION_TYPE CALCIFICATION TYPE DYSTROPHIC DISTRIBUTION CLUSTERED ASSESSMENT 4 SUBTLETY 5 PATHOLOGY BENIGN TOTAL_OUTLINES 1 BOUNDARY |
FILE: C_0505_1.RIGHT_CC.OVERLAY TOTAL_ABNORMALITIES 1 ABNORMALITY 1 LESION_TYPE CALCIFICATION TYPE DYSTROPHIC DISTRIBUTION CLUSTERED ASSESSMENT 4 SUBTLETY 5 PATHOLOGY BENIGN TOTAL_OUTLINES 1 BOUNDARY |