Digital Database for Screening Mammography

Volume: benign_13 Case: B-3438-1


B_3438_1.RIGHT_MLO

B_3438_1.LEFT_MLO

B_3438_1.RIGHT_CC

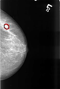
B_3438_1.LEFT_CC

ics_version 1.0
filename B-3438-1
DATE_OF_STUDY 14 1 1998
PATIENT_AGE 70
FILM
FILM_TYPE REGULAR
DENSITY 2
DATE_DIGITIZED 1 2 1999
DIGITIZER LUMISYS LASER
SEQUENCE
LEFT_CC LINES 4480 PIXELS_PER_LINE 3024 BITS_PER_PIXEL 12 RESOLUTION 50 OVERLAY
LEFT_MLO LINES 4488 PIXELS_PER_LINE 3024 BITS_PER_PIXEL 12 RESOLUTION 50 OVERLAY
RIGHT_CC LINES 4512 PIXELS_PER_LINE 2936 BITS_PER_PIXEL 12 RESOLUTION 50 NON_OVERLAY
RIGHT_MLO LINES 4472 PIXELS_PER_LINE 3008 BITS_PER_PIXEL 12 RESOLUTION 50 NON_OVERLAY

FILE: B_3438_1.LEFT_MLO.OVERLAY

TOTAL_ABNORMALITIES 1
ABNORMALITY 1
LESION_TYPE CALCIFICATION TYPE PLEOMORPHIC DISTRIBUTION CLUSTERED
ASSESSMENT 4
SUBTLETY 2
PATHOLOGY BENIGN
TOTAL_OUTLINES 1 
BOUNDARY
FILE: B_3438_1.LEFT_CC.OVERLAY

TOTAL_ABNORMALITIES 1
ABNORMALITY 1
LESION_TYPE CALCIFICATION TYPE PLEOMORPHIC DISTRIBUTION CLUSTERED
ASSESSMENT 4
SUBTLETY 2
PATHOLOGY BENIGN
TOTAL_OUTLINES 1 
BOUNDARY