Digital Database for Screening Mammography

Volume: benign_13 Case: B-3486-1


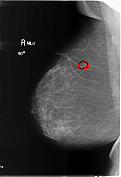
B_3486_1.RIGHT_MLO

B_3486_1.LEFT_MLO

B_3486_1.RIGHT_CC

B_3486_1.LEFT_CC

ics_version 1.0
filename B-3486-1
DATE_OF_STUDY 1 6 1998
PATIENT_AGE 39
FILM
FILM_TYPE REGULAR
DENSITY 1
DATE_DIGITIZED 4 6 1999
DIGITIZER LUMISYS LASER
SEQUENCE
LEFT_CC LINES 6016 PIXELS_PER_LINE 4128 BITS_PER_PIXEL 12 RESOLUTION 50 NON_OVERLAY
LEFT_MLO LINES 6000 PIXELS_PER_LINE 4184 BITS_PER_PIXEL 12 RESOLUTION 50 NON_OVERLAY
RIGHT_CC LINES 6024 PIXELS_PER_LINE 4144 BITS_PER_PIXEL 12 RESOLUTION 50 OVERLAY
RIGHT_MLO LINES 6024 PIXELS_PER_LINE 4120 BITS_PER_PIXEL 12 RESOLUTION 50 OVERLAY

FILE: B_3486_1.RIGHT_MLO.OVERLAY

TOTAL_ABNORMALITIES 1
ABNORMALITY 1
LESION_TYPE CALCIFICATION TYPE PLEOMORPHIC DISTRIBUTION CLUSTERED
ASSESSMENT 4
SUBTLETY 3
PATHOLOGY BENIGN
TOTAL_OUTLINES 1 
BOUNDARY
FILE: B_3486_1.RIGHT_CC.OVERLAY

TOTAL_ABNORMALITIES 1
ABNORMALITY 1
LESION_TYPE CALCIFICATION TYPE PLEOMORPHIC DISTRIBUTION CLUSTERED
ASSESSMENT 4
SUBTLETY 3
PATHOLOGY BENIGN
TOTAL_OUTLINES 1 
BOUNDARY