Digital Database for Screening Mammography

Volume: benign_13 Case: B-3487-1


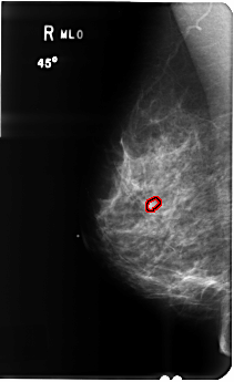
B_3487_1.RIGHT_MLO

B_3487_1.LEFT_MLO

B_3487_1.RIGHT_CC

B_3487_1.LEFT_CC

ics_version 1.0
filename B-3487-1
DATE_OF_STUDY 22 5 1998
PATIENT_AGE 39
FILM
FILM_TYPE REGULAR
DENSITY 3
DATE_DIGITIZED 8 6 1999
DIGITIZER LUMISYS LASER
SEQUENCE
LEFT_CC LINES 4768 PIXELS_PER_LINE 2944 BITS_PER_PIXEL 12 RESOLUTION 50 NON_OVERLAY
LEFT_MLO LINES 4800 PIXELS_PER_LINE 2944 BITS_PER_PIXEL 12 RESOLUTION 50 NON_OVERLAY
RIGHT_CC LINES 4816 PIXELS_PER_LINE 2928 BITS_PER_PIXEL 12 RESOLUTION 50 OVERLAY
RIGHT_MLO LINES 4824 PIXELS_PER_LINE 2944 BITS_PER_PIXEL 12 RESOLUTION 50 OVERLAY

FILE: B_3487_1.RIGHT_MLO.OVERLAY

TOTAL_ABNORMALITIES 1
ABNORMALITY 1
LESION_TYPE MASS SHAPE OVAL MARGINS CIRCUMSCRIBED
ASSESSMENT 3
SUBTLETY 3
PATHOLOGY BENIGN
TOTAL_OUTLINES 1 
BOUNDARY
FILE: B_3487_1.RIGHT_CC.OVERLAY

TOTAL_ABNORMALITIES 1
ABNORMALITY 1
LESION_TYPE MASS SHAPE LYMPH_NODE MARGINS N/A
ASSESSMENT 2
SUBTLETY 3
PATHOLOGY BENIGN
TOTAL_OUTLINES 1 
BOUNDARY