Digital Database for Screening Mammography

Volume: benign_13 Case: B-3494-1


B_3494_1.RIGHT_MLO

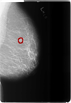
B_3494_1.LEFT_MLO

B_3494_1.RIGHT_CC

B_3494_1.LEFT_CC

ics_version 1.0
filename B-3494-1
DATE_OF_STUDY 11 5 1998
PATIENT_AGE 40
FILM
FILM_TYPE REGULAR
DENSITY 1
DATE_DIGITIZED 10 6 1999
DIGITIZER LUMISYS LASER
SEQUENCE
LEFT_CC LINES 5880 PIXELS_PER_LINE 4064 BITS_PER_PIXEL 12 RESOLUTION 50 OVERLAY
LEFT_MLO LINES 5968 PIXELS_PER_LINE 4112 BITS_PER_PIXEL 12 RESOLUTION 50 OVERLAY
RIGHT_CC LINES 5936 PIXELS_PER_LINE 4032 BITS_PER_PIXEL 12 RESOLUTION 50 NON_OVERLAY
RIGHT_MLO LINES 5880 PIXELS_PER_LINE 4184 BITS_PER_PIXEL 12 RESOLUTION 50 NON_OVERLAY

FILE: B_3494_1.LEFT_MLO.OVERLAY

TOTAL_ABNORMALITIES 1
ABNORMALITY 1
LESION_TYPE CALCIFICATION TYPE PLEOMORPHIC DISTRIBUTION CLUSTERED
ASSESSMENT 4
SUBTLETY 3
PATHOLOGY BENIGN
TOTAL_OUTLINES 1 
BOUNDARY
FILE: B_3494_1.LEFT_CC.OVERLAY

TOTAL_ABNORMALITIES 1
ABNORMALITY 1
LESION_TYPE CALCIFICATION TYPE ROUND_AND_REGULAR-AMORPHOUS DISTRIBUTION N/A
ASSESSMENT 4
SUBTLETY 3
PATHOLOGY BENIGN
TOTAL_OUTLINES 1 
BOUNDARY