Digital Database for Screening Mammography

Volume: benign_14 Case: C-0477-1


C_0477_1.RIGHT_MLO

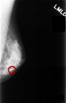
C_0477_1.LEFT_MLO

C_0477_1.RIGHT_CC

C_0477_1.LEFT_CC

ics_version 1.0
filename C-0477-1
DATE_OF_STUDY 30 8 1994
PATIENT_AGE 39
FILM
FILM_TYPE REGULAR
DENSITY 4
DATE_DIGITIZED 2 2 1999
DIGITIZER LUMISYS LASER
SEQUENCE
LEFT_CC LINES 4488 PIXELS_PER_LINE 2896 BITS_PER_PIXEL 12 RESOLUTION 50 OVERLAY
LEFT_MLO LINES 4544 PIXELS_PER_LINE 2896 BITS_PER_PIXEL 12 RESOLUTION 50 OVERLAY
RIGHT_CC LINES 4520 PIXELS_PER_LINE 2880 BITS_PER_PIXEL 12 RESOLUTION 50 NON_OVERLAY
RIGHT_MLO LINES 4480 PIXELS_PER_LINE 2912 BITS_PER_PIXEL 12 RESOLUTION 50 NON_OVERLAY

FILE: C_0477_1.LEFT_MLO.OVERLAY

TOTAL_ABNORMALITIES 1
ABNORMALITY 1
LESION_TYPE CALCIFICATION TYPE PUNCTATE DISTRIBUTION CLUSTERED
ASSESSMENT 4
SUBTLETY 3
PATHOLOGY BENIGN
TOTAL_OUTLINES 1 
BOUNDARY
FILE: C_0477_1.LEFT_CC.OVERLAY

TOTAL_ABNORMALITIES 1
ABNORMALITY 1
LESION_TYPE CALCIFICATION TYPE PUNCTATE DISTRIBUTION CLUSTERED
ASSESSMENT 4
SUBTLETY 3
PATHOLOGY BENIGN
TOTAL_OUTLINES 1 
BOUNDARY