Digital Database for Screening Mammography

Volume: benign_14 Case: B-3459-1


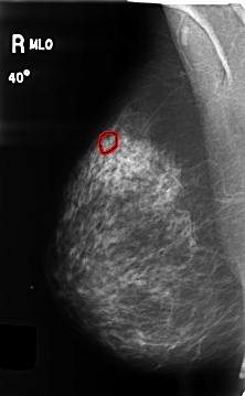
B_3459_1.RIGHT_MLO

B_3459_1.LEFT_MLO

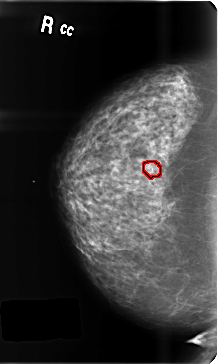
B_3459_1.RIGHT_CC

B_3459_1.LEFT_CC

ics_version 1.0
filename B-3459-1
DATE_OF_STUDY 10 3 1998
PATIENT_AGE 61
FILM
FILM_TYPE REGULAR
DENSITY 3
DATE_DIGITIZED 18 3 1999
DIGITIZER LUMISYS LASER
SEQUENCE
LEFT_CC LINES 4592 PIXELS_PER_LINE 2784 BITS_PER_PIXEL 12 RESOLUTION 50 NON_OVERLAY
LEFT_MLO LINES 4640 PIXELS_PER_LINE 2872 BITS_PER_PIXEL 12 RESOLUTION 50 NON_OVERLAY
RIGHT_CC LINES 4728 PIXELS_PER_LINE 2832 BITS_PER_PIXEL 12 RESOLUTION 50 OVERLAY
RIGHT_MLO LINES 4656 PIXELS_PER_LINE 2880 BITS_PER_PIXEL 12 RESOLUTION 50 OVERLAY

FILE: B_3459_1.RIGHT_MLO.OVERLAY

TOTAL_ABNORMALITIES 1
ABNORMALITY 1
LESION_TYPE CALCIFICATION TYPE PLEOMORPHIC DISTRIBUTION CLUSTERED
ASSESSMENT 4
SUBTLETY 4
PATHOLOGY BENIGN
TOTAL_OUTLINES 1 
BOUNDARY
FILE: B_3459_1.RIGHT_CC.OVERLAY

TOTAL_ABNORMALITIES 1
ABNORMALITY 1
LESION_TYPE CALCIFICATION TYPE PLEOMORPHIC DISTRIBUTION CLUSTERED
ASSESSMENT 4
SUBTLETY 4
PATHOLOGY BENIGN
TOTAL_OUTLINES 1 
BOUNDARY