Digital Database for Screening Mammography

Volume: benign_14 Case: B-3470-1


B_3470_1.RIGHT_MLO

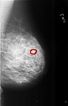
B_3470_1.LEFT_MLO

B_3470_1.RIGHT_CC

B_3470_1.LEFT_CC

ics_version 1.0
filename B-3470-1
DATE_OF_STUDY 10 3 1998
PATIENT_AGE 49
FILM
FILM_TYPE REGULAR
DENSITY 4
DATE_DIGITIZED 18 3 1999
DIGITIZER LUMISYS LASER
SEQUENCE
LEFT_CC LINES 5648 PIXELS_PER_LINE 3576 BITS_PER_PIXEL 12 RESOLUTION 50 OVERLAY
LEFT_MLO LINES 5616 PIXELS_PER_LINE 3616 BITS_PER_PIXEL 12 RESOLUTION 50 OVERLAY
RIGHT_CC LINES 5648 PIXELS_PER_LINE 3736 BITS_PER_PIXEL 12 RESOLUTION 50 NON_OVERLAY
RIGHT_MLO LINES 5808 PIXELS_PER_LINE 3736 BITS_PER_PIXEL 12 RESOLUTION 50 NON_OVERLAY

FILE: B_3470_1.LEFT_MLO.OVERLAY

TOTAL_ABNORMALITIES 1
ABNORMALITY 1
LESION_TYPE CALCIFICATION TYPE PLEOMORPHIC DISTRIBUTION CLUSTERED
ASSESSMENT 4
SUBTLETY 3
PATHOLOGY BENIGN
TOTAL_OUTLINES 1 
BOUNDARY
FILE: B_3470_1.LEFT_CC.OVERLAY

TOTAL_ABNORMALITIES 1
ABNORMALITY 1
LESION_TYPE CALCIFICATION TYPE PLEOMORPHIC DISTRIBUTION CLUSTERED
ASSESSMENT 4
SUBTLETY 3
PATHOLOGY BENIGN
TOTAL_OUTLINES 1 
BOUNDARY