Digital Database for Screening Mammography

Volume: cancer_01 Case: C-0001-1


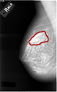
C_0001_1.RIGHT_MLO

C_0001_1.LEFT_MLO

C_0001_1.RIGHT_CC

C_0001_1.LEFT_CC

ics_version 1.0
filename C-0001-1
DATE_OF_STUDY 15 10 1992
PATIENT_AGE 65
FILM
FILM_TYPE REGULAR
DENSITY 2
DATE_DIGITIZED 18 8 1997
DIGITIZER LUMISYS LASER
SEQUENCE
LEFT_CC LINES 4608 PIXELS_PER_LINE 2928 BITS_PER_PIXEL 12 RESOLUTION 50 NON_OVERLAY
LEFT_MLO LINES 4592 PIXELS_PER_LINE 2896 BITS_PER_PIXEL 12 RESOLUTION 50 NON_OVERLAY
RIGHT_CC LINES 4584 PIXELS_PER_LINE 2920 BITS_PER_PIXEL 12 RESOLUTION 50 OVERLAY
RIGHT_MLO LINES 4616 PIXELS_PER_LINE 2888 BITS_PER_PIXEL 12 RESOLUTION 50 OVERLAY

FILE: C_0001_1.RIGHT_MLO.OVERLAY

TOTAL_ABNORMALITIES 1
ABNORMALITY 1
LESION_TYPE MASS SHAPE IRREGULAR MARGINS ILL_DEFINED
ASSESSMENT 4
SUBTLETY 3
PATHOLOGY MALIGNANT
TOTAL_OUTLINES 1 
BOUNDARY
FILE: C_0001_1.RIGHT_CC.OVERLAY

TOTAL_ABNORMALITIES 1
ABNORMALITY 1
LESION_TYPE MASS SHAPE IRREGULAR MARGINS SPICULATED
ASSESSMENT 5
SUBTLETY 5
PATHOLOGY MALIGNANT
TOTAL_OUTLINES 1 
BOUNDARY