Digital Database for Screening Mammography

Volume: cancer_01 Case: C-0014-1


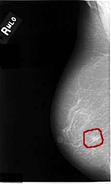
C_0014_1.RIGHT_MLO

C_0014_1.LEFT_MLO

C_0014_1.RIGHT_CC

C_0014_1.LEFT_CC

ics_version 1.0
filename C-0014-1
DATE_OF_STUDY 22 6 1992
PATIENT_AGE 83
FILM
FILM_TYPE REGULAR
DENSITY 1
DATE_DIGITIZED 11 9 1997
DIGITIZER LUMISYS LASER
SEQUENCE
LEFT_CC LINES 4648 PIXELS_PER_LINE 2696 BITS_PER_PIXEL 12 RESOLUTION 50 NON_OVERLAY
LEFT_MLO LINES 4632 PIXELS_PER_LINE 2824 BITS_PER_PIXEL 12 RESOLUTION 50 NON_OVERLAY
RIGHT_CC LINES 4608 PIXELS_PER_LINE 2624 BITS_PER_PIXEL 12 RESOLUTION 50 OVERLAY
RIGHT_MLO LINES 4664 PIXELS_PER_LINE 2800 BITS_PER_PIXEL 12 RESOLUTION 50 OVERLAY

FILE: C_0014_1.RIGHT_MLO.OVERLAY

TOTAL_ABNORMALITIES 1
ABNORMALITY 1
LESION_TYPE MASS SHAPE IRREGULAR MARGINS MICROLOBULATED
ASSESSMENT 5
SUBTLETY 4
PATHOLOGY MALIGNANT
TOTAL_OUTLINES 1 
BOUNDARY
FILE: C_0014_1.RIGHT_CC.OVERLAY

TOTAL_ABNORMALITIES 1
ABNORMALITY 1
LESION_TYPE MASS SHAPE IRREGULAR MARGINS ILL_DEFINED
ASSESSMENT 5
SUBTLETY 4
PATHOLOGY MALIGNANT
TOTAL_OUTLINES 1 
BOUNDARY