Digital Database for Screening Mammography

Volume: cancer_01 Case: C-0017-1


C_0017_1.RIGHT_MLO

C_0017_1.LEFT_MLO

C_0017_1.RIGHT_CC

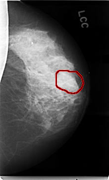
C_0017_1.LEFT_CC

ics_version 1.0
filename C-0017-1
DATE_OF_STUDY 14 6 1993
PATIENT_AGE 73
FILM
FILM_TYPE REGULAR
DENSITY 4
DATE_DIGITIZED 19 9 1997
DIGITIZER LUMISYS LASER
SEQUENCE
LEFT_CC LINES 4712 PIXELS_PER_LINE 2856 BITS_PER_PIXEL 12 RESOLUTION 50 OVERLAY
LEFT_MLO LINES 4688 PIXELS_PER_LINE 2776 BITS_PER_PIXEL 12 RESOLUTION 50 OVERLAY
RIGHT_CC LINES 4712 PIXELS_PER_LINE 2672 BITS_PER_PIXEL 12 RESOLUTION 50 NON_OVERLAY
RIGHT_MLO LINES 4672 PIXELS_PER_LINE 2584 BITS_PER_PIXEL 12 RESOLUTION 50 NON_OVERLAY

FILE: C_0017_1.LEFT_MLO.OVERLAY

TOTAL_ABNORMALITIES 1
ABNORMALITY 1
LESION_TYPE MASS SHAPE LOBULATED MARGINS ILL_DEFINED
ASSESSMENT 4
SUBTLETY 1
PATHOLOGY MALIGNANT
TOTAL_OUTLINES 1 
BOUNDARY
FILE: C_0017_1.LEFT_CC.OVERLAY

TOTAL_ABNORMALITIES 1
ABNORMALITY 1
LESION_TYPE MASS SHAPE LOBULATED MARGINS ILL_DEFINED
ASSESSMENT 4
SUBTLETY 1
PATHOLOGY MALIGNANT
TOTAL_OUTLINES 1 
BOUNDARY