Digital Database for Screening Mammography

Volume: cancer_01 Case: B-3079-1


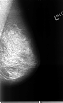
B_3079_1.RIGHT_MLO

B_3079_1.LEFT_MLO

B_3079_1.RIGHT_CC

B_3079_1.LEFT_CC

ics_version 1.0
filename B-3079-1
DATE_OF_STUDY 26 12 1996
PATIENT_AGE 49
FILM
FILM_TYPE REGULAR
DENSITY 4
DATE_DIGITIZED 26 9 1997
DIGITIZER LUMISYS LASER
SEQUENCE
LEFT_CC LINES 4624 PIXELS_PER_LINE 2704 BITS_PER_PIXEL 12 RESOLUTION 50 NON_OVERLAY
LEFT_MLO LINES 4624 PIXELS_PER_LINE 2832 BITS_PER_PIXEL 12 RESOLUTION 50 NON_OVERLAY
RIGHT_CC LINES 4624 PIXELS_PER_LINE 2832 BITS_PER_PIXEL 12 RESOLUTION 50 OVERLAY
RIGHT_MLO LINES 4616 PIXELS_PER_LINE 2856 BITS_PER_PIXEL 12 RESOLUTION 50 OVERLAY

FILE: B_3079_1.RIGHT_MLO.OVERLAY

TOTAL_ABNORMALITIES 1
ABNORMALITY 1
LESION_TYPE CALCIFICATION TYPE PLEOMORPHIC DISTRIBUTION CLUSTERED
ASSESSMENT 4
SUBTLETY 4
PATHOLOGY MALIGNANT
TOTAL_OUTLINES 1 
BOUNDARY
FILE: B_3079_1.RIGHT_CC.OVERLAY

TOTAL_ABNORMALITIES 1
ABNORMALITY 1
LESION_TYPE CALCIFICATION TYPE PLEOMORPHIC DISTRIBUTION CLUSTERED
ASSESSMENT 4
SUBTLETY 4
PATHOLOGY MALIGNANT
TOTAL_OUTLINES 1 
BOUNDARY