Digital Database for Screening Mammography

Volume: cancer_02 Case: C-0022-1


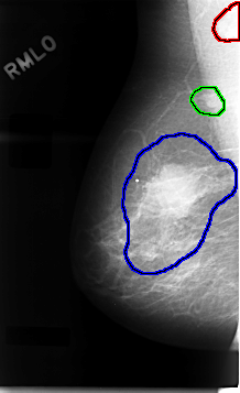
C_0022_1.RIGHT_MLO

C_0022_1.LEFT_MLO

C_0022_1.RIGHT_CC

C_0022_1.LEFT_CC

ics_version 1.0
filename C-0022-1
DATE_OF_STUDY 27 12 1993
PATIENT_AGE 51
FILM
FILM_TYPE REGULAR
DENSITY 1
DATE_DIGITIZED 19 9 1997
DIGITIZER LUMISYS LASER
SEQUENCE
LEFT_CC LINES 4672 PIXELS_PER_LINE 2824 BITS_PER_PIXEL 12 RESOLUTION 50 NON_OVERLAY
LEFT_MLO LINES 4696 PIXELS_PER_LINE 2792 BITS_PER_PIXEL 12 RESOLUTION 50 NON_OVERLAY
RIGHT_CC LINES 4664 PIXELS_PER_LINE 2760 BITS_PER_PIXEL 12 RESOLUTION 50 OVERLAY
RIGHT_MLO LINES 4632 PIXELS_PER_LINE 2832 BITS_PER_PIXEL 12 RESOLUTION 50 OVERLAY

FILE: C_0022_1.RIGHT_MLO.OVERLAY

TOTAL_ABNORMALITIES 3
ABNORMALITY 1
LESION_TYPE MASS SHAPE IRREGULAR MARGINS MICROLOBULATED
ASSESSMENT 5
SUBTLETY 5
PATHOLOGY MALIGNANT
TOTAL_OUTLINES 1 
BOUNDARY
ABNORMALITY 2
LESION_TYPE MASS SHAPE IRREGULAR MARGINS MICROLOBULATED
ASSESSMENT 5
SUBTLETY 5
PATHOLOGY MALIGNANT
TOTAL_OUTLINES 1 
BOUNDARY
ABNORMALITY 3
LESION_TYPE CALCIFICATION TYPE AMORPHOUS DISTRIBUTION CLUSTERED
ASSESSMENT 5
SUBTLETY 5
PATHOLOGY MALIGNANT
TOTAL_OUTLINES 1 
BOUNDARY
FILE: C_0022_1.RIGHT_CC.OVERLAY

TOTAL_ABNORMALITIES 1
ABNORMALITY 1
LESION_TYPE CALCIFICATION TYPE AMORPHOUS DISTRIBUTION CLUSTERED
LESION_TYPE MASS SHAPE IRREGULAR MARGINS MICROLOBULATED
ASSESSMENT 5
SUBTLETY 5
PATHOLOGY MALIGNANT
TOTAL_OUTLINES 1 
BOUNDARY