Digital Database for Screening Mammography

Volume: cancer_02 Case: C-0036-1


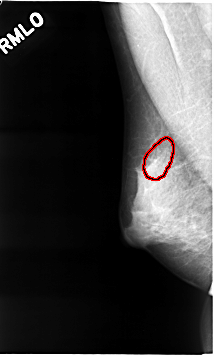
C_0036_1.RIGHT_MLO

C_0036_1.LEFT_MLO

C_0036_1.RIGHT_CC

C_0036_1.LEFT_CC

ics_version 1.0
filename C-0036-1
DATE_OF_STUDY 24 2 1993
PATIENT_AGE 60
FILM
FILM_TYPE REGULAR
DENSITY 4
DATE_DIGITIZED 9 10 1997
DIGITIZER LUMISYS LASER
SEQUENCE
LEFT_CC LINES 4664 PIXELS_PER_LINE 2744 BITS_PER_PIXEL 12 RESOLUTION 50 NON_OVERLAY
LEFT_MLO LINES 4640 PIXELS_PER_LINE 2592 BITS_PER_PIXEL 12 RESOLUTION 50 NON_OVERLAY
RIGHT_CC LINES 4672 PIXELS_PER_LINE 2848 BITS_PER_PIXEL 12 RESOLUTION 50 OVERLAY
RIGHT_MLO LINES 4640 PIXELS_PER_LINE 2776 BITS_PER_PIXEL 12 RESOLUTION 50 OVERLAY

FILE: C_0036_1.RIGHT_MLO.OVERLAY

TOTAL_ABNORMALITIES 1
ABNORMALITY 1
LESION_TYPE CALCIFICATION TYPE PUNCTATE DISTRIBUTION CLUSTERED
ASSESSMENT 4
SUBTLETY 4
PATHOLOGY MALIGNANT
TOTAL_OUTLINES 1 
BOUNDARY
FILE: C_0036_1.RIGHT_CC.OVERLAY

TOTAL_ABNORMALITIES 1
ABNORMALITY 1
LESION_TYPE CALCIFICATION TYPE PUNCTATE DISTRIBUTION CLUSTERED
ASSESSMENT 4
SUBTLETY 4
PATHOLOGY MALIGNANT
TOTAL_OUTLINES 1 
BOUNDARY