Digital Database for Screening Mammography

Volume: cancer_02 Case: C-0050-1


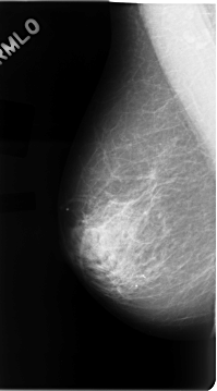
C_0050_1.RIGHT_MLO

C_0050_1.LEFT_MLO

C_0050_1.RIGHT_CC

C_0050_1.LEFT_CC

ics_version 1.0
filename C-0050-1
DATE_OF_STUDY 15 12 1993
PATIENT_AGE 70
FILM
FILM_TYPE REGULAR
DENSITY 2
DATE_DIGITIZED 6 11 1997
DIGITIZER LUMISYS LASER
SEQUENCE
LEFT_CC LINES 4680 PIXELS_PER_LINE 2352 BITS_PER_PIXEL 12 RESOLUTION 50 OVERLAY
LEFT_MLO LINES 4720 PIXELS_PER_LINE 2528 BITS_PER_PIXEL 12 RESOLUTION 50 OVERLAY
RIGHT_CC LINES 4616 PIXELS_PER_LINE 2480 BITS_PER_PIXEL 12 RESOLUTION 50 NON_OVERLAY
RIGHT_MLO LINES 4664 PIXELS_PER_LINE 2584 BITS_PER_PIXEL 12 RESOLUTION 50 NON_OVERLAY

FILE: C_0050_1.LEFT_MLO.OVERLAY

TOTAL_ABNORMALITIES 1
ABNORMALITY 1
LESION_TYPE MASS SHAPE IRREGULAR MARGINS SPICULATED
ASSESSMENT 5
SUBTLETY 5
PATHOLOGY MALIGNANT
TOTAL_OUTLINES 1 
BOUNDARY
FILE: C_0050_1.LEFT_CC.OVERLAY

TOTAL_ABNORMALITIES 1
ABNORMALITY 1
LESION_TYPE MASS SHAPE IRREGULAR MARGINS SPICULATED
ASSESSMENT 5
SUBTLETY 5
PATHOLOGY MALIGNANT
TOTAL_OUTLINES 1 
BOUNDARY