Digital Database for Screening Mammography

Volume: cancer_02 Case: C-0071-1


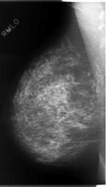
C_0071_1.RIGHT_MLO

C_0071_1.LEFT_MLO

C_0071_1.RIGHT_CC

C_0071_1.LEFT_CC

ics_version 1.0
filename C-0071-1
DATE_OF_STUDY 9 11 1994
PATIENT_AGE 48
FILM
FILM_TYPE REGULAR
DENSITY 3
DATE_DIGITIZED 30 10 1997
DIGITIZER LUMISYS LASER
SEQUENCE
LEFT_CC LINES 5912 PIXELS_PER_LINE 3456 BITS_PER_PIXEL 12 RESOLUTION 50 OVERLAY
LEFT_MLO LINES 5832 PIXELS_PER_LINE 3520 BITS_PER_PIXEL 12 RESOLUTION 50 OVERLAY
RIGHT_CC LINES 5848 PIXELS_PER_LINE 3296 BITS_PER_PIXEL 12 RESOLUTION 50 NON_OVERLAY
RIGHT_MLO LINES 5880 PIXELS_PER_LINE 3320 BITS_PER_PIXEL 12 RESOLUTION 50 NON_OVERLAY

FILE: C_0071_1.LEFT_MLO.OVERLAY

TOTAL_ABNORMALITIES 1
ABNORMALITY 1
LESION_TYPE CALCIFICATION TYPE PLEOMORPHIC DISTRIBUTION REGIONAL
ASSESSMENT 5
SUBTLETY 5
PATHOLOGY MALIGNANT
TOTAL_OUTLINES 1 
BOUNDARY
FILE: C_0071_1.LEFT_CC.OVERLAY

TOTAL_ABNORMALITIES 1
ABNORMALITY 1
LESION_TYPE CALCIFICATION TYPE PLEOMORPHIC DISTRIBUTION REGIONAL
ASSESSMENT 5
SUBTLETY 5
PATHOLOGY MALIGNANT
TOTAL_OUTLINES 1 
BOUNDARY