Digital Database for Screening Mammography

Volume: cancer_02 Case: C-0077-1


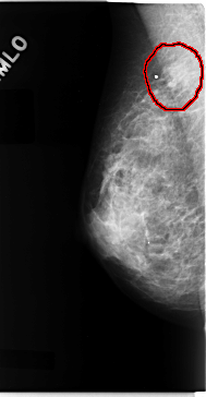
C_0077_1.RIGHT_MLO

C_0077_1.LEFT_MLO

C_0077_1.RIGHT_CC

C_0077_1.LEFT_CC

ics_version 1.0
filename C-0077-1
DATE_OF_STUDY 16 12 1994
PATIENT_AGE 52
FILM
FILM_TYPE REGULAR
DENSITY 3
DATE_DIGITIZED 12 11 1997
DIGITIZER LUMISYS LASER
SEQUENCE
LEFT_CC LINES 4736 PIXELS_PER_LINE 2536 BITS_PER_PIXEL 12 RESOLUTION 50 NON_OVERLAY
LEFT_MLO LINES 4752 PIXELS_PER_LINE 2464 BITS_PER_PIXEL 12 RESOLUTION 50 NON_OVERLAY
RIGHT_CC LINES 4736 PIXELS_PER_LINE 2560 BITS_PER_PIXEL 12 RESOLUTION 50 OVERLAY
RIGHT_MLO LINES 4728 PIXELS_PER_LINE 2456 BITS_PER_PIXEL 12 RESOLUTION 50 OVERLAY

FILE: C_0077_1.RIGHT_MLO.OVERLAY

TOTAL_ABNORMALITIES 1
ABNORMALITY 1
LESION_TYPE MASS SHAPE IRREGULAR MARGINS ILL_DEFINED
ASSESSMENT 4
SUBTLETY 3
PATHOLOGY MALIGNANT
TOTAL_OUTLINES 1 
BOUNDARY
FILE: C_0077_1.RIGHT_CC.OVERLAY

TOTAL_ABNORMALITIES 1
ABNORMALITY 1
LESION_TYPE MASS SHAPE IRREGULAR MARGINS ILL_DEFINED
ASSESSMENT 4
SUBTLETY 3
PATHOLOGY MALIGNANT
TOTAL_OUTLINES 1 
BOUNDARY