Digital Database for Screening Mammography

Volume: cancer_02 Case: C-0081-1


C_0081_1.RIGHT_MLO

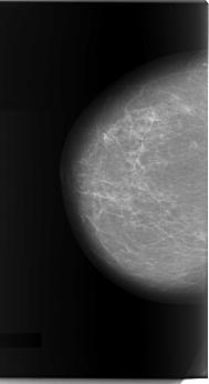
C_0081_1.LEFT_MLO

C_0081_1.RIGHT_CC

C_0081_1.LEFT_CC

ics_version 1.0
filename C-0081-1
DATE_OF_STUDY 29 8 1994
PATIENT_AGE 60
FILM
FILM_TYPE REGULAR
DENSITY 1
DATE_DIGITIZED 13 11 1997
DIGITIZER LUMISYS LASER
SEQUENCE
LEFT_CC LINES 6032 PIXELS_PER_LINE 3544 BITS_PER_PIXEL 12 RESOLUTION 50 OVERLAY
LEFT_MLO LINES 5904 PIXELS_PER_LINE 3768 BITS_PER_PIXEL 12 RESOLUTION 50 OVERLAY
RIGHT_CC LINES 5872 PIXELS_PER_LINE 3208 BITS_PER_PIXEL 12 RESOLUTION 50 NON_OVERLAY
RIGHT_MLO LINES 5896 PIXELS_PER_LINE 3616 BITS_PER_PIXEL 12 RESOLUTION 50 NON_OVERLAY

FILE: C_0081_1.LEFT_MLO.OVERLAY

TOTAL_ABNORMALITIES 1
ABNORMALITY 1
LESION_TYPE MASS SHAPE IRREGULAR MARGINS SPICULATED
ASSESSMENT 5
SUBTLETY 5
PATHOLOGY MALIGNANT
TOTAL_OUTLINES 1 
BOUNDARY
FILE: C_0081_1.LEFT_CC.OVERLAY

TOTAL_ABNORMALITIES 1
ABNORMALITY 1
LESION_TYPE MASS SHAPE IRREGULAR MARGINS SPICULATED
ASSESSMENT 5
SUBTLETY 4
PATHOLOGY MALIGNANT
TOTAL_OUTLINES 1 
BOUNDARY