Digital Database for Screening Mammography

Volume: cancer_02 Case: C-0087-1


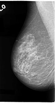
C_0087_1.RIGHT_MLO

C_0087_1.LEFT_MLO

C_0087_1.RIGHT_CC

C_0087_1.LEFT_CC

ics_version 1.0
filename C-0087-1
DATE_OF_STUDY 11 5 1994
PATIENT_AGE 58
FILM
FILM_TYPE REGULAR
DENSITY 2
DATE_DIGITIZED 14 11 1997
DIGITIZER LUMISYS LASER
SEQUENCE
LEFT_CC LINES 4696 PIXELS_PER_LINE 2704 BITS_PER_PIXEL 12 RESOLUTION 50 OVERLAY
LEFT_MLO LINES 4824 PIXELS_PER_LINE 2936 BITS_PER_PIXEL 12 RESOLUTION 50 OVERLAY
RIGHT_CC LINES 4656 PIXELS_PER_LINE 2800 BITS_PER_PIXEL 12 RESOLUTION 50 NON_OVERLAY
RIGHT_MLO LINES 4688 PIXELS_PER_LINE 2528 BITS_PER_PIXEL 12 RESOLUTION 50 NON_OVERLAY

FILE: C_0087_1.LEFT_MLO.OVERLAY

TOTAL_ABNORMALITIES 3
ABNORMALITY 1
LESION_TYPE CALCIFICATION TYPE PLEOMORPHIC DISTRIBUTION CLUSTERED
ASSESSMENT 5
SUBTLETY 5
PATHOLOGY MALIGNANT
TOTAL_OUTLINES 1 
BOUNDARY
ABNORMALITY 2
LESION_TYPE CALCIFICATION TYPE PLEOMORPHIC DISTRIBUTION CLUSTERED
ASSESSMENT 5
SUBTLETY 5
PATHOLOGY MALIGNANT
TOTAL_OUTLINES 1 
BOUNDARY
ABNORMALITY 3
LESION_TYPE CALCIFICATION TYPE PLEOMORPHIC DISTRIBUTION CLUSTERED
ASSESSMENT 5
SUBTLETY 5
PATHOLOGY MALIGNANT
TOTAL_OUTLINES 1 
BOUNDARY
FILE: C_0087_1.LEFT_CC.OVERLAY

TOTAL_ABNORMALITIES 2
ABNORMALITY 1
LESION_TYPE CALCIFICATION TYPE PLEOMORPHIC DISTRIBUTION CLUSTERED
ASSESSMENT 5
SUBTLETY 5
PATHOLOGY MALIGNANT
TOTAL_OUTLINES 1 
BOUNDARY
ABNORMALITY 2
LESION_TYPE CALCIFICATION TYPE PLEOMORPHIC DISTRIBUTION CLUSTERED
ASSESSMENT 5
SUBTLETY 5
PATHOLOGY MALIGNANT
TOTAL_OUTLINES 1 
BOUNDARY