Digital Database for Screening Mammography

Volume: cancer_02 Case: C-0090-1


C_0090_1.RIGHT_MLO

C_0090_1.LEFT_MLO

C_0090_1.RIGHT_CC

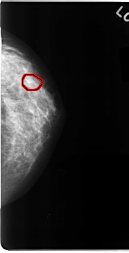
C_0090_1.LEFT_CC

ics_version 1.0
filename C-0090-1
DATE_OF_STUDY 21 9 1994
PATIENT_AGE 37
FILM
FILM_TYPE REGULAR
DENSITY 2
DATE_DIGITIZED 14 11 1997
DIGITIZER LUMISYS LASER
SEQUENCE
LEFT_CC LINES 4720 PIXELS_PER_LINE 2416 BITS_PER_PIXEL 12 RESOLUTION 50 OVERLAY
LEFT_MLO LINES 4688 PIXELS_PER_LINE 2568 BITS_PER_PIXEL 12 RESOLUTION 50 OVERLAY
RIGHT_CC LINES 4712 PIXELS_PER_LINE 2592 BITS_PER_PIXEL 12 RESOLUTION 50 NON_OVERLAY
RIGHT_MLO LINES 4736 PIXELS_PER_LINE 2504 BITS_PER_PIXEL 12 RESOLUTION 50 NON_OVERLAY

FILE: C_0090_1.LEFT_MLO.OVERLAY

TOTAL_ABNORMALITIES 1
ABNORMALITY 1
LESION_TYPE CALCIFICATION TYPE PLEOMORPHIC DISTRIBUTION CLUSTERED
ASSESSMENT 4
SUBTLETY 4
PATHOLOGY MALIGNANT
TOTAL_OUTLINES 1 
BOUNDARY
FILE: C_0090_1.LEFT_CC.OVERLAY

TOTAL_ABNORMALITIES 1
ABNORMALITY 1
LESION_TYPE CALCIFICATION TYPE PLEOMORPHIC DISTRIBUTION CLUSTERED
ASSESSMENT 4
SUBTLETY 4
PATHOLOGY MALIGNANT
TOTAL_OUTLINES 1 
BOUNDARY