Digital Database for Screening Mammography

Volume: cancer_02 Case: C-0096-1


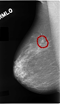
C_0096_1.RIGHT_MLO

C_0096_1.LEFT_MLO

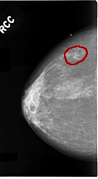
C_0096_1.RIGHT_CC

C_0096_1.LEFT_CC

ics_version 1.0
filename C-0096-1
DATE_OF_STUDY 12 7 1994
PATIENT_AGE 55
FILM
FILM_TYPE REGULAR
DENSITY 2
DATE_DIGITIZED 4 12 1997
DIGITIZER LUMISYS LASER
SEQUENCE
LEFT_CC LINES 4688 PIXELS_PER_LINE 2456 BITS_PER_PIXEL 12 RESOLUTION 50 NON_OVERLAY
LEFT_MLO LINES 4704 PIXELS_PER_LINE 2680 BITS_PER_PIXEL 12 RESOLUTION 50 NON_OVERLAY
RIGHT_CC LINES 4656 PIXELS_PER_LINE 2544 BITS_PER_PIXEL 12 RESOLUTION 50 OVERLAY
RIGHT_MLO LINES 4672 PIXELS_PER_LINE 2656 BITS_PER_PIXEL 12 RESOLUTION 50 OVERLAY

FILE: C_0096_1.RIGHT_MLO.OVERLAY

TOTAL_ABNORMALITIES 1
ABNORMALITY 1
LESION_TYPE CALCIFICATION TYPE PLEOMORPHIC DISTRIBUTION CLUSTERED
LESION_TYPE MASS SHAPE IRREGULAR MARGINS SPICULATED
ASSESSMENT 5
SUBTLETY 5
PATHOLOGY MALIGNANT
TOTAL_OUTLINES 1 
BOUNDARY
FILE: C_0096_1.RIGHT_CC.OVERLAY

TOTAL_ABNORMALITIES 1
ABNORMALITY 1
LESION_TYPE CALCIFICATION TYPE PLEOMORPHIC DISTRIBUTION CLUSTERED
LESION_TYPE MASS SHAPE IRREGULAR MARGINS ILL_DEFINED
ASSESSMENT 5
SUBTLETY 4
PATHOLOGY MALIGNANT
TOTAL_OUTLINES 1 
BOUNDARY