Digital Database for Screening Mammography

Volume: cancer_02 Case: C-0098-1


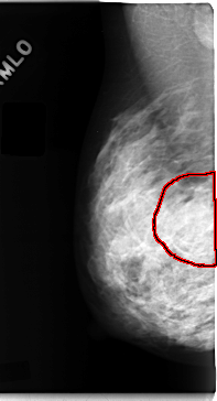
C_0098_1.RIGHT_MLO

C_0098_1.LEFT_MLO

C_0098_1.RIGHT_CC

C_0098_1.LEFT_CC

ics_version 1.0
filename C-0098-1
DATE_OF_STUDY 30 11 1994
PATIENT_AGE 38
FILM
FILM_TYPE REGULAR
DENSITY 3
DATE_DIGITIZED 4 12 1997
DIGITIZER LUMISYS LASER
SEQUENCE
LEFT_CC LINES 4680 PIXELS_PER_LINE 2504 BITS_PER_PIXEL 12 RESOLUTION 50 NON_OVERLAY
LEFT_MLO LINES 4712 PIXELS_PER_LINE 2496 BITS_PER_PIXEL 12 RESOLUTION 50 NON_OVERLAY
RIGHT_CC LINES 4704 PIXELS_PER_LINE 2456 BITS_PER_PIXEL 12 RESOLUTION 50 OVERLAY
RIGHT_MLO LINES 4720 PIXELS_PER_LINE 2560 BITS_PER_PIXEL 12 RESOLUTION 50 OVERLAY

FILE: C_0098_1.RIGHT_MLO.OVERLAY

TOTAL_ABNORMALITIES 1
ABNORMALITY 1
LESION_TYPE MASS SHAPE IRREGULAR MARGINS ILL_DEFINED
ASSESSMENT 4
SUBTLETY 2
PATHOLOGY MALIGNANT
TOTAL_OUTLINES 1 
BOUNDARY
FILE: C_0098_1.RIGHT_CC.OVERLAY

TOTAL_ABNORMALITIES 1
ABNORMALITY 1
LESION_TYPE MASS SHAPE IRREGULAR MARGINS ILL_DEFINED
ASSESSMENT 4
SUBTLETY 3
PATHOLOGY MALIGNANT
TOTAL_OUTLINES 1 
BOUNDARY