Digital Database for Screening Mammography

Volume: cancer_02 Case: C-0100-1


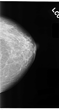
C_0100_1.RIGHT_MLO

C_0100_1.LEFT_MLO

C_0100_1.RIGHT_CC

C_0100_1.LEFT_CC

ics_version 1.0
filename C-0100-1
DATE_OF_STUDY 2 2 1994
PATIENT_AGE 54
FILM
FILM_TYPE REGULAR
DENSITY 2
DATE_DIGITIZED 4 12 1997
DIGITIZER LUMISYS LASER
SEQUENCE
LEFT_CC LINES 4760 PIXELS_PER_LINE 2576 BITS_PER_PIXEL 12 RESOLUTION 50 NON_OVERLAY
LEFT_MLO LINES 4704 PIXELS_PER_LINE 2664 BITS_PER_PIXEL 12 RESOLUTION 50 NON_OVERLAY
RIGHT_CC LINES 4688 PIXELS_PER_LINE 2632 BITS_PER_PIXEL 12 RESOLUTION 50 OVERLAY
RIGHT_MLO LINES 4704 PIXELS_PER_LINE 2560 BITS_PER_PIXEL 12 RESOLUTION 50 OVERLAY

FILE: C_0100_1.RIGHT_MLO.OVERLAY

TOTAL_ABNORMALITIES 1
ABNORMALITY 1
LESION_TYPE MASS SHAPE IRREGULAR MARGINS SPICULATED
ASSESSMENT 5
SUBTLETY 5
PATHOLOGY MALIGNANT
TOTAL_OUTLINES 1 
BOUNDARY
FILE: C_0100_1.RIGHT_CC.OVERLAY

TOTAL_ABNORMALITIES 1
ABNORMALITY 1
LESION_TYPE MASS SHAPE IRREGULAR MARGINS SPICULATED
ASSESSMENT 5
SUBTLETY 5
PATHOLOGY MALIGNANT
TOTAL_OUTLINES 1 
BOUNDARY