Digital Database for Screening Mammography

Volume: cancer_03 Case: A-1009-1


A_1009_1.LEFT_MLO

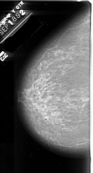
A_1009_1.RIGHT_MLO

A_1009_1.LEFT_CC

A_1009_1.RIGHT_CC

ics_version 1.0
filename A-1009-1
DATE_OF_STUDY 18 9 1992
PATIENT_AGE 70
FILM
FILM_TYPE REGULAR
DENSITY 2
DATE_DIGITIZED 16 12 1997
DIGITIZER DBA 21
SEQUENCE
LEFT_CC LINES 6136 PIXELS_PER_LINE 3316 BITS_PER_PIXEL 16 RESOLUTION 42 NON_OVERLAY
LEFT_MLO LINES 6016 PIXELS_PER_LINE 3526 BITS_PER_PIXEL 16 RESOLUTION 42 NON_OVERLAY
RIGHT_CC LINES 6406 PIXELS_PER_LINE 3091 BITS_PER_PIXEL 16 RESOLUTION 42 OVERLAY
RIGHT_MLO LINES 6526 PIXELS_PER_LINE 3136 BITS_PER_PIXEL 16 RESOLUTION 42 OVERLAY

FILE: A_1009_1.RIGHT_MLO.OVERLAY

TOTAL_ABNORMALITIES 1
ABNORMALITY 1 
LESION_TYPE MASS SHAPE IRREGULAR MARGINS SPICULATED
ASSESSMENT 4 
SUBTLETY 1 
PATHOLOGY MALIGNANT
TOTAL_OUTLINES 2 
BOUNDARY
	CORE
FILE: A_1009_1.RIGHT_CC.OVERLAY

TOTAL_ABNORMALITIES 1
ABNORMALITY 1 
LESION_TYPE MASS SHAPE IRREGULAR MARGINS SPICULATED
ASSESSMENT 4 
SUBTLETY 1 
PATHOLOGY MALIGNANT
TOTAL_OUTLINES 2 
BOUNDARY
	CORE