Digital Database for Screening Mammography

Volume: cancer_03 Case: A-1031-1


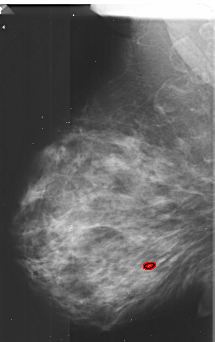
A_1031_1.LEFT_MLO

A_1031_1.RIGHT_MLO

A_1031_1.LEFT_CC

A_1031_1.RIGHT_CC

ics_version 1.0
filename A-1031-1
DATE_OF_STUDY 7 12 1994
PATIENT_AGE 50
FILM
FILM_TYPE REGULAR
DENSITY 4
DATE_DIGITIZED 8 1 1998
DIGITIZER DBA 21
SEQUENCE
LEFT_CC LINES 5911 PIXELS_PER_LINE 4111 BITS_PER_PIXEL 16 RESOLUTION 42 OVERLAY
LEFT_MLO LINES 6496 PIXELS_PER_LINE 4081 BITS_PER_PIXEL 16 RESOLUTION 42 OVERLAY
RIGHT_CC LINES 5911 PIXELS_PER_LINE 4231 BITS_PER_PIXEL 16 RESOLUTION 42 NON_OVERLAY
RIGHT_MLO LINES 6661 PIXELS_PER_LINE 4156 BITS_PER_PIXEL 16 RESOLUTION 42 NON_OVERLAY

FILE: A_1031_1.LEFT_MLO.OVERLAY

TOTAL_ABNORMALITIES 1
ABNORMALITY 1 
LESION_TYPE CALCIFICATION TYPE PLEOMORPHIC DISTRIBUTION LINEAR
ASSESSMENT 4 
SUBTLETY 1 
PATHOLOGY MALIGNANT
TOTAL_OUTLINES 1 
BOUNDARY
FILE: A_1031_1.LEFT_CC.OVERLAY

TOTAL_ABNORMALITIES 1
ABNORMALITY 1 
LESION_TYPE CALCIFICATION TYPE PLEOMORPHIC DISTRIBUTION LINEAR
ASSESSMENT 4 
SUBTLETY 1 
PATHOLOGY MALIGNANT
TOTAL_OUTLINES 1 
BOUNDARY