Digital Database for Screening Mammography

Volume: cancer_03 Case: A-1035-1


A_1035_1.LEFT_MLO

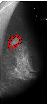
A_1035_1.RIGHT_MLO

A_1035_1.LEFT_CC

A_1035_1.RIGHT_CC

ics_version 1.0
filename A-1035-1
DATE_OF_STUDY 3 2 1993
PATIENT_AGE 71
FILM
FILM_TYPE REGULAR
DENSITY 3
DATE_DIGITIZED 12 1 1998
DIGITIZER DBA 21
SEQUENCE
LEFT_CC LINES 4936 PIXELS_PER_LINE 2446 BITS_PER_PIXEL 16 RESOLUTION 42 NON_OVERLAY
LEFT_MLO LINES 5491 PIXELS_PER_LINE 2596 BITS_PER_PIXEL 16 RESOLUTION 42 NON_OVERLAY
RIGHT_CC LINES 4411 PIXELS_PER_LINE 2596 BITS_PER_PIXEL 16 RESOLUTION 42 OVERLAY
RIGHT_MLO LINES 5401 PIXELS_PER_LINE 2461 BITS_PER_PIXEL 16 RESOLUTION 42 OVERLAY

FILE: A_1035_1.RIGHT_MLO.OVERLAY

TOTAL_ABNORMALITIES 1
ABNORMALITY 1 
LESION_TYPE MASS SHAPE IRREGULAR MARGINS SPICULATED
ASSESSMENT 5 
SUBTLETY 5 
PATHOLOGY MALIGNANT
TOTAL_OUTLINES 2 
BOUNDARY
	CORE
FILE: A_1035_1.RIGHT_CC.OVERLAY

TOTAL_ABNORMALITIES 1
ABNORMALITY 1 
LESION_TYPE MASS SHAPE IRREGULAR MARGINS SPICULATED
ASSESSMENT 5 
SUBTLETY 5 
PATHOLOGY MALIGNANT
TOTAL_OUTLINES 2 
BOUNDARY
	CORE