Digital Database for Screening Mammography

Volume: cancer_03 Case: A-1037-1


A_1037_1.LEFT_MLO

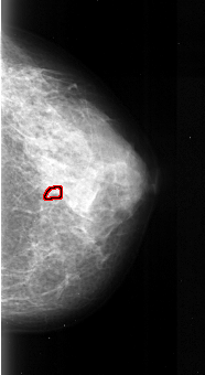
A_1037_1.RIGHT_MLO

A_1037_1.LEFT_CC

A_1037_1.RIGHT_CC

ics_version 1.0
filename A-1037-1
DATE_OF_STUDY 11 5 1993
PATIENT_AGE 67
FILM
FILM_TYPE REGULAR
DENSITY 4
DATE_DIGITIZED 12 1 1997
DIGITIZER DBA 21
SEQUENCE
LEFT_CC LINES 4771 PIXELS_PER_LINE 2656 BITS_PER_PIXEL 16 RESOLUTION 42 NON_OVERLAY
LEFT_MLO LINES 5491 PIXELS_PER_LINE 2551 BITS_PER_PIXEL 16 RESOLUTION 42 NON_OVERLAY
RIGHT_CC LINES 4411 PIXELS_PER_LINE 2416 BITS_PER_PIXEL 16 RESOLUTION 42 OVERLAY
RIGHT_MLO LINES 5161 PIXELS_PER_LINE 2566 BITS_PER_PIXEL 16 RESOLUTION 42 OVERLAY

FILE: A_1037_1.RIGHT_MLO.OVERLAY

TOTAL_ABNORMALITIES 1
ABNORMALITY 1 
LESION_TYPE CALCIFICATION TYPE PLEOMORPHIC DISTRIBUTION CLUSTERED
ASSESSMENT 4 
SUBTLETY 1 
PATHOLOGY MALIGNANT
TOTAL_OUTLINES 1 
BOUNDARY
FILE: A_1037_1.RIGHT_CC.OVERLAY

TOTAL_ABNORMALITIES 1
ABNORMALITY 1 
LESION_TYPE CALCIFICATION TYPE PLEOMORPHIC DISTRIBUTION CLUSTERED
ASSESSMENT 4 
SUBTLETY 1 
PATHOLOGY MALIGNANT
TOTAL_OUTLINES 1 
BOUNDARY