Digital Database for Screening Mammography

Volume: cancer_03 Case: A-1085-1


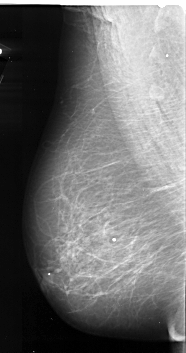
A_1085_1.LEFT_MLO

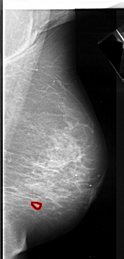
A_1085_1.RIGHT_MLO

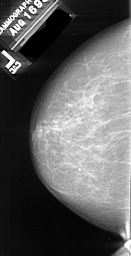
A_1085_1.LEFT_CC

A_1085_1.RIGHT_CC

ics_version 1.0
filename A-1085-1
DATE_OF_STUDY 16 8 1993
PATIENT_AGE 77
FILM
FILM_TYPE REGULAR
DENSITY 2
DATE_DIGITIZED 10 2 1998
DIGITIZER DBA 21
SEQUENCE
LEFT_CC LINES 5881 PIXELS_PER_LINE 3016 BITS_PER_PIXEL 16 RESOLUTION 42 NON_OVERLAY
LEFT_MLO LINES 5986 PIXELS_PER_LINE 3151 BITS_PER_PIXEL 16 RESOLUTION 42 NON_OVERLAY
RIGHT_CC LINES 5581 PIXELS_PER_LINE 2806 BITS_PER_PIXEL 16 RESOLUTION 42 OVERLAY
RIGHT_MLO LINES 6286 PIXELS_PER_LINE 3001 BITS_PER_PIXEL 16 RESOLUTION 42 OVERLAY

FILE: A_1085_1.RIGHT_MLO.OVERLAY

TOTAL_ABNORMALITIES 1
ABNORMALITY 1 
LESION_TYPE CALCIFICATION TYPE ROUND_AND_REGULAR DISTRIBUTION CLUSTERED
ASSESSMENT 4 
SUBTLETY 4 
PATHOLOGY MALIGNANT
TOTAL_OUTLINES 1 
BOUNDARY
FILE: A_1085_1.RIGHT_CC.OVERLAY

TOTAL_ABNORMALITIES 1
ABNORMALITY 1 
LESION_TYPE CALCIFICATION TYPE ROUND_AND_REGULAR DISTRIBUTION CLUSTERED
ASSESSMENT 4 
SUBTLETY 4 
PATHOLOGY MALIGNANT
TOTAL_OUTLINES 1 
BOUNDARY