Digital Database for Screening Mammography

Volume: cancer_05 Case: C-0147-1


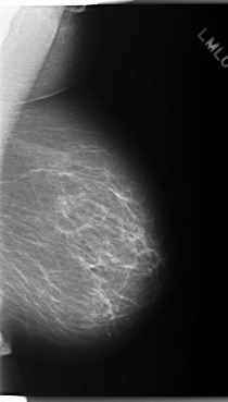
C_0147_1.RIGHT_MLO

C_0147_1.LEFT_MLO

C_0147_1.RIGHT_CC

C_0147_1.LEFT_CC

ics_version 1.0
filename C-0147-1
DATE_OF_STUDY 17 1 1995
PATIENT_AGE 35
FILM
FILM_TYPE REGULAR
DENSITY 1
DATE_DIGITIZED 18 2 1998
DIGITIZER LUMISYS LASER
SEQUENCE
LEFT_CC LINES 5920 PIXELS_PER_LINE 3064 BITS_PER_PIXEL 12 RESOLUTION 50 NON_OVERLAY
LEFT_MLO LINES 5896 PIXELS_PER_LINE 3360 BITS_PER_PIXEL 12 RESOLUTION 50 NON_OVERLAY
RIGHT_CC LINES 5856 PIXELS_PER_LINE 3472 BITS_PER_PIXEL 12 RESOLUTION 50 OVERLAY
RIGHT_MLO LINES 5832 PIXELS_PER_LINE 3664 BITS_PER_PIXEL 12 RESOLUTION 50 OVERLAY

FILE: C_0147_1.RIGHT_MLO.OVERLAY

TOTAL_ABNORMALITIES 1
ABNORMALITY 1
LESION_TYPE MASS SHAPE LOBULATED MARGINS MICROLOBULATED
ASSESSMENT 5
SUBTLETY 5
PATHOLOGY MALIGNANT
TOTAL_OUTLINES 1 
BOUNDARY
FILE: C_0147_1.RIGHT_CC.OVERLAY

TOTAL_ABNORMALITIES 1
ABNORMALITY 1
LESION_TYPE MASS SHAPE LOBULATED MARGINS MICROLOBULATED
ASSESSMENT 5
SUBTLETY 5
PATHOLOGY MALIGNANT
TOTAL_OUTLINES 1 
BOUNDARY