Digital Database for Screening Mammography

Volume: cancer_05 Case: C-0148-1


C_0148_1.RIGHT_MLO

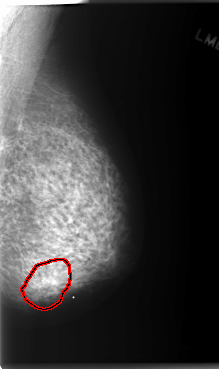
C_0148_1.LEFT_MLO

C_0148_1.RIGHT_CC

C_0148_1.LEFT_CC

ics_version 1.0
filename C-0148-1
DATE_OF_STUDY 26 4 1995
PATIENT_AGE 55
FILM
FILM_TYPE REGULAR
DENSITY 3
DATE_DIGITIZED 25 2 1998
DIGITIZER LUMISYS LASER
SEQUENCE
LEFT_CC LINES 6008 PIXELS_PER_LINE 3592 BITS_PER_PIXEL 12 RESOLUTION 50 OVERLAY
LEFT_MLO LINES 5896 PIXELS_PER_LINE 3496 BITS_PER_PIXEL 12 RESOLUTION 50 OVERLAY
RIGHT_CC LINES 5968 PIXELS_PER_LINE 3592 BITS_PER_PIXEL 12 RESOLUTION 50 NON_OVERLAY
RIGHT_MLO LINES 5920 PIXELS_PER_LINE 3544 BITS_PER_PIXEL 12 RESOLUTION 50 NON_OVERLAY

FILE: C_0148_1.LEFT_MLO.OVERLAY

TOTAL_ABNORMALITIES 1
ABNORMALITY 1
LESION_TYPE MASS SHAPE LOBULATED MARGINS ILL_DEFINED
ASSESSMENT 4
SUBTLETY 1
PATHOLOGY MALIGNANT
TOTAL_OUTLINES 1 
BOUNDARY
FILE: C_0148_1.LEFT_CC.OVERLAY

TOTAL_ABNORMALITIES 1
ABNORMALITY 1
LESION_TYPE MASS SHAPE ARCHITECTURAL_DISTORTION MARGINS ILL_DEFINED
ASSESSMENT 4
SUBTLETY 2
PATHOLOGY MALIGNANT
TOTAL_OUTLINES 1 
BOUNDARY