Digital Database for Screening Mammography

Volume: cancer_05 Case: C-0154-1


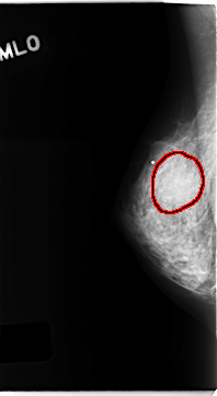
C_0154_1.RIGHT_MLO

C_0154_1.LEFT_MLO

C_0154_1.RIGHT_CC

C_0154_1.LEFT_CC

ics_version 1.0
filename C-0154-1
DATE_OF_STUDY 7 8 1995
PATIENT_AGE 44
FILM
FILM_TYPE REGULAR
DENSITY 3
DATE_DIGITIZED 26 2 1998
DIGITIZER LUMISYS LASER
SEQUENCE
LEFT_CC LINES 4728 PIXELS_PER_LINE 2512 BITS_PER_PIXEL 12 RESOLUTION 50 NON_OVERLAY
LEFT_MLO LINES 4712 PIXELS_PER_LINE 2632 BITS_PER_PIXEL 12 RESOLUTION 50 NON_OVERLAY
RIGHT_CC LINES 4720 PIXELS_PER_LINE 2504 BITS_PER_PIXEL 12 RESOLUTION 50 OVERLAY
RIGHT_MLO LINES 4704 PIXELS_PER_LINE 2568 BITS_PER_PIXEL 12 RESOLUTION 50 OVERLAY

FILE: C_0154_1.RIGHT_MLO.OVERLAY

TOTAL_ABNORMALITIES 1
ABNORMALITY 1
LESION_TYPE MASS SHAPE ROUND MARGINS ILL_DEFINED
ASSESSMENT 4
SUBTLETY 3
PATHOLOGY MALIGNANT
TOTAL_OUTLINES 1 
BOUNDARY
FILE: C_0154_1.RIGHT_CC.OVERLAY

TOTAL_ABNORMALITIES 1
ABNORMALITY 1
LESION_TYPE MASS SHAPE ROUND MARGINS ILL_DEFINED
ASSESSMENT 4
SUBTLETY 3
PATHOLOGY MALIGNANT
TOTAL_OUTLINES 1 
BOUNDARY