Digital Database for Screening Mammography

Volume: cancer_05 Case: C-0162-1


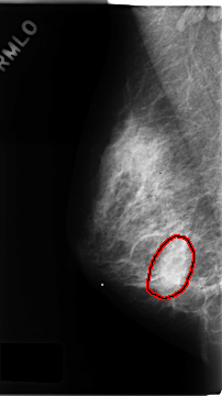
C_0162_1.RIGHT_MLO

C_0162_1.LEFT_MLO

C_0162_1.RIGHT_CC

C_0162_1.LEFT_CC

ics_version 1.0
filename C-0162-1
DATE_OF_STUDY 1 10 1996
PATIENT_AGE 40
FILM
FILM_TYPE REGULAR
DENSITY 3
DATE_DIGITIZED 11 3 1998
DIGITIZER LUMISYS LASER
SEQUENCE
LEFT_CC LINES 4736 PIXELS_PER_LINE 2624 BITS_PER_PIXEL 12 RESOLUTION 50 NON_OVERLAY
LEFT_MLO LINES 4728 PIXELS_PER_LINE 2376 BITS_PER_PIXEL 12 RESOLUTION 50 NON_OVERLAY
RIGHT_CC LINES 4720 PIXELS_PER_LINE 2696 BITS_PER_PIXEL 12 RESOLUTION 50 OVERLAY
RIGHT_MLO LINES 4680 PIXELS_PER_LINE 2624 BITS_PER_PIXEL 12 RESOLUTION 50 OVERLAY

FILE: C_0162_1.RIGHT_MLO.OVERLAY

TOTAL_ABNORMALITIES 1
ABNORMALITY 1
LESION_TYPE CALCIFICATION TYPE FINE_LINEAR_BRANCHING DISTRIBUTION CLUSTERED
LESION_TYPE MASS SHAPE IRREGULAR MARGINS ILL_DEFINED
ASSESSMENT 5
SUBTLETY 4
PATHOLOGY MALIGNANT
TOTAL_OUTLINES 1 
BOUNDARY
FILE: C_0162_1.RIGHT_CC.OVERLAY

TOTAL_ABNORMALITIES 1
ABNORMALITY 1
LESION_TYPE CALCIFICATION TYPE FINE_LINEAR_BRANCHING DISTRIBUTION CLUSTERED
LESION_TYPE MASS SHAPE IRREGULAR MARGINS ILL_DEFINED
ASSESSMENT 5
SUBTLETY 4
PATHOLOGY MALIGNANT
TOTAL_OUTLINES 1 
BOUNDARY