Digital Database for Screening Mammography

Volume: cancer_05 Case: C-0181-1


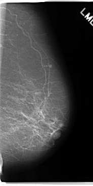
C_0181_1.RIGHT_MLO

C_0181_1.LEFT_MLO

C_0181_1.RIGHT_CC

C_0181_1.LEFT_CC

ics_version 1.0
filename C-0181-1
DATE_OF_STUDY 28 10 1996
PATIENT_AGE 79
FILM
FILM_TYPE REGULAR
DENSITY 1
DATE_DIGITIZED 19 3 1998
DIGITIZER LUMISYS LASER
SEQUENCE
LEFT_CC LINES 4760 PIXELS_PER_LINE 2576 BITS_PER_PIXEL 12 RESOLUTION 50 NON_OVERLAY
LEFT_MLO LINES 4752 PIXELS_PER_LINE 2392 BITS_PER_PIXEL 12 RESOLUTION 50 NON_OVERLAY
RIGHT_CC LINES 4688 PIXELS_PER_LINE 2568 BITS_PER_PIXEL 12 RESOLUTION 50 OVERLAY
RIGHT_MLO LINES 4704 PIXELS_PER_LINE 2408 BITS_PER_PIXEL 12 RESOLUTION 50 OVERLAY

FILE: C_0181_1.RIGHT_MLO.OVERLAY

TOTAL_ABNORMALITIES 1
ABNORMALITY 1
LESION_TYPE MASS SHAPE IRREGULAR MARGINS SPICULATED
ASSESSMENT 5
SUBTLETY 5
PATHOLOGY MALIGNANT
TOTAL_OUTLINES 1 
BOUNDARY
FILE: C_0181_1.RIGHT_CC.OVERLAY

TOTAL_ABNORMALITIES 1
ABNORMALITY 1
LESION_TYPE MASS SHAPE IRREGULAR MARGINS SPICULATED
ASSESSMENT 5
SUBTLETY 5
PATHOLOGY MALIGNANT
TOTAL_OUTLINES 1 
BOUNDARY