Digital Database for Screening Mammography

Volume: cancer_05 Case: C-0193-1


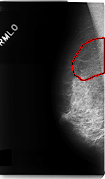
C_0193_1.RIGHT_MLO

C_0193_1.LEFT_MLO

C_0193_1.RIGHT_CC

C_0193_1.LEFT_CC

ics_version 1.0
filename C-0193-1
DATE_OF_STUDY 12 8 1996
PATIENT_AGE 54
FILM
FILM_TYPE REGULAR
DENSITY 3
DATE_DIGITIZED 24 3 1998
DIGITIZER LUMISYS LASER
SEQUENCE
LEFT_CC LINES 4720 PIXELS_PER_LINE 2280 BITS_PER_PIXEL 12 RESOLUTION 50 NON_OVERLAY
LEFT_MLO LINES 4736 PIXELS_PER_LINE 2352 BITS_PER_PIXEL 12 RESOLUTION 50 NON_OVERLAY
RIGHT_CC LINES 4760 PIXELS_PER_LINE 2824 BITS_PER_PIXEL 12 RESOLUTION 50 NON_OVERLAY
RIGHT_MLO LINES 4760 PIXELS_PER_LINE 2784 BITS_PER_PIXEL 12 RESOLUTION 50 OVERLAY

FILE: C_0193_1.RIGHT_MLO.OVERLAY

TOTAL_ABNORMALITIES 1
ABNORMALITY 1
LESION_TYPE CALCIFICATION TYPE PLEOMORPHIC DISTRIBUTION SEGMENTAL
ASSESSMENT 5
SUBTLETY 5
PATHOLOGY MALIGNANT
TOTAL_OUTLINES 1 
BOUNDARY