Digital Database for Screening Mammography

Volume: cancer_05 Case: C-0196-1


C_0196_1.RIGHT_MLO

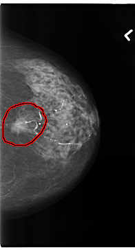
C_0196_1.LEFT_MLO

C_0196_1.RIGHT_CC

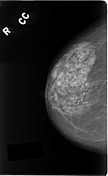
C_0196_1.LEFT_CC

ics_version 1.0
filename C-0196-1
DATE_OF_STUDY 16 9 1996
PATIENT_AGE 83
FILM
FILM_TYPE REGULAR
DENSITY 2
DATE_DIGITIZED 26 3 1998
DIGITIZER LUMISYS LASER
SEQUENCE
LEFT_CC LINES 4728 PIXELS_PER_LINE 2536 BITS_PER_PIXEL 12 RESOLUTION 50 OVERLAY
LEFT_MLO LINES 4736 PIXELS_PER_LINE 2712 BITS_PER_PIXEL 12 RESOLUTION 50 OVERLAY
RIGHT_CC LINES 4616 PIXELS_PER_LINE 2824 BITS_PER_PIXEL 12 RESOLUTION 50 NON_OVERLAY
RIGHT_MLO LINES 4672 PIXELS_PER_LINE 2712 BITS_PER_PIXEL 12 RESOLUTION 50 NON_OVERLAY

FILE: C_0196_1.LEFT_MLO.OVERLAY

TOTAL_ABNORMALITIES 1
ABNORMALITY 1
LESION_TYPE MASS SHAPE OVAL MARGINS SPICULATED
ASSESSMENT 5
SUBTLETY 5
PATHOLOGY MALIGNANT
TOTAL_OUTLINES 1 
BOUNDARY
FILE: C_0196_1.LEFT_CC.OVERLAY

TOTAL_ABNORMALITIES 1
ABNORMALITY 1
LESION_TYPE MASS SHAPE OVAL MARGINS SPICULATED
ASSESSMENT 5
SUBTLETY 5
PATHOLOGY MALIGNANT
TOTAL_OUTLINES 1 
BOUNDARY