Digital Database for Screening Mammography

Volume: cancer_05 Case: C-0197-1


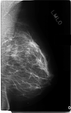
C_0197_1.RIGHT_MLO

C_0197_1.LEFT_MLO

C_0197_1.RIGHT_CC

C_0197_1.LEFT_CC

ics_version 1.0
filename C-0197-1
DATE_OF_STUDY 24 12 1997
PATIENT_AGE 31
FILM
FILM_TYPE REGULAR
DENSITY 2
DATE_DIGITIZED 31 3 1998
DIGITIZER LUMISYS LASER
SEQUENCE
LEFT_CC LINES 4808 PIXELS_PER_LINE 2496 BITS_PER_PIXEL 12 RESOLUTION 50 NON_OVERLAY
LEFT_MLO LINES 4696 PIXELS_PER_LINE 2952 BITS_PER_PIXEL 12 RESOLUTION 50 NON_OVERLAY
RIGHT_CC LINES 4776 PIXELS_PER_LINE 2688 BITS_PER_PIXEL 12 RESOLUTION 50 OVERLAY
RIGHT_MLO LINES 4768 PIXELS_PER_LINE 2728 BITS_PER_PIXEL 12 RESOLUTION 50 OVERLAY

FILE: C_0197_1.RIGHT_MLO.OVERLAY

TOTAL_ABNORMALITIES 1
ABNORMALITY 1
LESION_TYPE MASS SHAPE LOBULATED MARGINS ILL_DEFINED
ASSESSMENT 4
SUBTLETY 5
PATHOLOGY MALIGNANT
TOTAL_OUTLINES 1 
BOUNDARY
FILE: C_0197_1.RIGHT_CC.OVERLAY

TOTAL_ABNORMALITIES 1
ABNORMALITY 1
LESION_TYPE MASS SHAPE IRREGULAR MARGINS ILL_DEFINED
ASSESSMENT 4
SUBTLETY 5
PATHOLOGY MALIGNANT
TOTAL_OUTLINES 1 
BOUNDARY