Digital Database for Screening Mammography

Volume: cancer_05 Case: C-0200-1


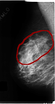
C_0200_1.RIGHT_MLO

C_0200_1.LEFT_MLO

C_0200_1.RIGHT_CC

C_0200_1.LEFT_CC

ics_version 1.0
filename C-0200-1
DATE_OF_STUDY 1 12 1997
PATIENT_AGE 45
FILM
FILM_TYPE REGULAR
DENSITY 3
DATE_DIGITIZED 9 4 1998
DIGITIZER LUMISYS LASER
SEQUENCE
LEFT_CC LINES 4816 PIXELS_PER_LINE 2360 BITS_PER_PIXEL 12 RESOLUTION 50 NON_OVERLAY
LEFT_MLO LINES 4816 PIXELS_PER_LINE 2432 BITS_PER_PIXEL 12 RESOLUTION 50 NON_OVERLAY
RIGHT_CC LINES 4832 PIXELS_PER_LINE 2600 BITS_PER_PIXEL 12 RESOLUTION 50 OVERLAY
RIGHT_MLO LINES 4824 PIXELS_PER_LINE 2544 BITS_PER_PIXEL 12 RESOLUTION 50 OVERLAY

FILE: C_0200_1.RIGHT_MLO.OVERLAY

TOTAL_ABNORMALITIES 1
ABNORMALITY 1
LESION_TYPE CALCIFICATION TYPE PLEOMORPHIC DISTRIBUTION REGIONAL
ASSESSMENT 5
SUBTLETY 5
PATHOLOGY MALIGNANT
TOTAL_OUTLINES 1 
BOUNDARY
FILE: C_0200_1.RIGHT_CC.OVERLAY

TOTAL_ABNORMALITIES 1
ABNORMALITY 1
LESION_TYPE CALCIFICATION TYPE PLEOMORPHIC DISTRIBUTION REGIONAL
ASSESSMENT 5
SUBTLETY 5
PATHOLOGY MALIGNANT
TOTAL_OUTLINES 1 
BOUNDARY