Digital Database for Screening Mammography

Volume: cancer_05 Case: C-0201-1


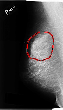
C_0201_1.RIGHT_MLO

C_0201_1.LEFT_MLO

C_0201_1.RIGHT_CC

C_0201_1.LEFT_CC

ics_version 1.0
filename C-0201-1
DATE_OF_STUDY 15 4 1997
PATIENT_AGE 55
FILM
FILM_TYPE REGULAR
DENSITY 2
DATE_DIGITIZED 9 4 1998
DIGITIZER LUMISYS LASER
SEQUENCE
LEFT_CC LINES 4792 PIXELS_PER_LINE 2424 BITS_PER_PIXEL 12 RESOLUTION 50 NON_OVERLAY
LEFT_MLO LINES 4744 PIXELS_PER_LINE 2232 BITS_PER_PIXEL 12 RESOLUTION 50 NON_OVERLAY
RIGHT_CC LINES 4728 PIXELS_PER_LINE 2488 BITS_PER_PIXEL 12 RESOLUTION 50 OVERLAY
RIGHT_MLO LINES 4712 PIXELS_PER_LINE 2688 BITS_PER_PIXEL 12 RESOLUTION 50 OVERLAY

FILE: C_0201_1.RIGHT_MLO.OVERLAY

TOTAL_ABNORMALITIES 1
ABNORMALITY 1
LESION_TYPE MASS SHAPE OVAL MARGINS ILL_DEFINED
ASSESSMENT 4
SUBTLETY 4
PATHOLOGY MALIGNANT
TOTAL_OUTLINES 1 
BOUNDARY
FILE: C_0201_1.RIGHT_CC.OVERLAY

TOTAL_ABNORMALITIES 1
ABNORMALITY 1
LESION_TYPE MASS SHAPE IRREGULAR MARGINS SPICULATED
ASSESSMENT 5
SUBTLETY 5
PATHOLOGY MALIGNANT
TOTAL_OUTLINES 1 
BOUNDARY