Digital Database for Screening Mammography

Volume: cancer_05 Case: C-0213-1


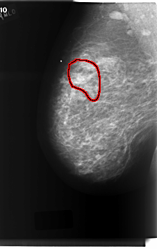
C_0213_1.RIGHT_MLO

C_0213_1.LEFT_MLO

C_0213_1.RIGHT_CC

C_0213_1.LEFT_CC

ics_version 1.0
filename C-0213-1
DATE_OF_STUDY 1 10 1997
PATIENT_AGE 52
FILM
FILM_TYPE REGULAR
DENSITY 2
DATE_DIGITIZED 31 3 1998
DIGITIZER LUMISYS LASER
SEQUENCE
LEFT_CC LINES 6016 PIXELS_PER_LINE 3384 BITS_PER_PIXEL 12 RESOLUTION 50 NON_OVERLAY
LEFT_MLO LINES 5928 PIXELS_PER_LINE 3648 BITS_PER_PIXEL 12 RESOLUTION 50 NON_OVERLAY
RIGHT_CC LINES 6032 PIXELS_PER_LINE 3928 BITS_PER_PIXEL 12 RESOLUTION 50 OVERLAY
RIGHT_MLO LINES 6056 PIXELS_PER_LINE 3840 BITS_PER_PIXEL 12 RESOLUTION 50 OVERLAY

FILE: C_0213_1.RIGHT_MLO.OVERLAY

TOTAL_ABNORMALITIES 1
ABNORMALITY 1
LESION_TYPE CALCIFICATION TYPE PLEOMORPHIC DISTRIBUTION SEGMENTAL
ASSESSMENT 5
SUBTLETY 5
PATHOLOGY MALIGNANT
TOTAL_OUTLINES 1 
BOUNDARY
FILE: C_0213_1.RIGHT_CC.OVERLAY

TOTAL_ABNORMALITIES 1
ABNORMALITY 1
LESION_TYPE CALCIFICATION TYPE PLEOMORPHIC DISTRIBUTION CLUSTERED
ASSESSMENT 5
SUBTLETY 5
PATHOLOGY MALIGNANT
TOTAL_OUTLINES 1 
BOUNDARY