Digital Database for Screening Mammography

Volume: cancer_05 Case: C-0222-1


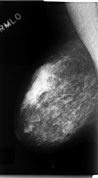
C_0222_1.RIGHT_MLO

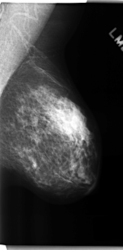
C_0222_1.LEFT_MLO

C_0222_1.RIGHT_CC

C_0222_1.LEFT_CC

ics_version 1.0
filename C-0222-1
DATE_OF_STUDY 20 2 1997
PATIENT_AGE 49
FILM
FILM_TYPE REGULAR
DENSITY 2
DATE_DIGITIZED 14 4 1998
DIGITIZER LUMISYS LASER
SEQUENCE
LEFT_CC LINES 4776 PIXELS_PER_LINE 2304 BITS_PER_PIXEL 12 RESOLUTION 50 OVERLAY
LEFT_MLO LINES 4736 PIXELS_PER_LINE 2328 BITS_PER_PIXEL 12 RESOLUTION 50 NON_OVERLAY
RIGHT_CC LINES 4744 PIXELS_PER_LINE 2624 BITS_PER_PIXEL 12 RESOLUTION 50 NON_OVERLAY
RIGHT_MLO LINES 4728 PIXELS_PER_LINE 2600 BITS_PER_PIXEL 12 RESOLUTION 50 NON_OVERLAY

FILE: C_0222_1.LEFT_CC.OVERLAY

TOTAL_ABNORMALITIES 1
ABNORMALITY 1
LESION_TYPE MASS SHAPE IRREGULAR MARGINS SPICULATED
ASSESSMENT 5
SUBTLETY 5
PATHOLOGY MALIGNANT
TOTAL_OUTLINES 1 
BOUNDARY