Digital Database for Screening Mammography

Volume: cancer_05 Case: C-0223-1


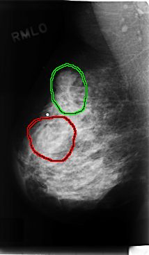
C_0223_1.RIGHT_MLO

C_0223_1.LEFT_MLO

C_0223_1.RIGHT_CC

C_0223_1.LEFT_CC

ics_version 1.0
filename C-0223-1
DATE_OF_STUDY 5 12 1997
PATIENT_AGE 50
FILM
FILM_TYPE REGULAR
DENSITY 3
DATE_DIGITIZED 14 4 1998
DIGITIZER LUMISYS LASER
SEQUENCE
LEFT_CC LINES 4816 PIXELS_PER_LINE 2576 BITS_PER_PIXEL 12 RESOLUTION 50 OVERLAY
LEFT_MLO LINES 4784 PIXELS_PER_LINE 2720 BITS_PER_PIXEL 12 RESOLUTION 50 OVERLAY
RIGHT_CC LINES 4752 PIXELS_PER_LINE 2744 BITS_PER_PIXEL 12 RESOLUTION 50 OVERLAY
RIGHT_MLO LINES 4768 PIXELS_PER_LINE 2776 BITS_PER_PIXEL 12 RESOLUTION 50 OVERLAY

FILE: C_0223_1.LEFT_MLO.OVERLAY

TOTAL_ABNORMALITIES 3
ABNORMALITY 1
LESION_TYPE MASS SHAPE OVAL MARGINS CIRCUMSCRIBED
ASSESSMENT 3
SUBTLETY 5
PATHOLOGY BENIGN
TOTAL_OUTLINES 1 
BOUNDARY
ABNORMALITY 2
LESION_TYPE MASS SHAPE OVAL MARGINS OBSCURED
ASSESSMENT 3
SUBTLETY 3
PATHOLOGY BENIGN
TOTAL_OUTLINES 1 
BOUNDARY
ABNORMALITY 3
LESION_TYPE MASS SHAPE OVAL MARGINS OBSCURED
ASSESSMENT 3
SUBTLETY 4
PATHOLOGY BENIGN
TOTAL_OUTLINES 1 
BOUNDARY

FILE: C_0223_1.RIGHT_MLO.OVERLAY

TOTAL_ABNORMALITIES 2
ABNORMALITY 1
LESION_TYPE MASS SHAPE OVAL MARGINS CIRCUMSCRIBED
ASSESSMENT 3
SUBTLETY 5
PATHOLOGY BENIGN
TOTAL_OUTLINES 1 
BOUNDARY
ABNORMALITY 2
LESION_TYPE CALCIFICATION TYPE PLEOMORPHIC DISTRIBUTION CLUSTERED
LESION_TYPE MASS SHAPE OVAL MARGINS ILL_DEFINED
ASSESSMENT 5
SUBTLETY 5
PATHOLOGY MALIGNANT
TOTAL_OUTLINES 1 
BOUNDARY
FILE: C_0223_1.LEFT_CC.OVERLAY

TOTAL_ABNORMALITIES 3
ABNORMALITY 1
LESION_TYPE MASS SHAPE OVAL MARGINS CIRCUMSCRIBED
ASSESSMENT 3
SUBTLETY 5
PATHOLOGY BENIGN
TOTAL_OUTLINES 1 
BOUNDARY
ABNORMALITY 2
LESION_TYPE MASS SHAPE OVAL MARGINS CIRCUMSCRIBED
ASSESSMENT 3
SUBTLETY 4
PATHOLOGY BENIGN
TOTAL_OUTLINES 1 
BOUNDARY
ABNORMALITY 3
LESION_TYPE MASS SHAPE OVAL MARGINS CIRCUMSCRIBED
ASSESSMENT 3
SUBTLETY 4
PATHOLOGY BENIGN
TOTAL_OUTLINES 1 
BOUNDARY
FILE: C_0223_1.RIGHT_CC.OVERLAY

TOTAL_ABNORMALITIES 2
ABNORMALITY 1
LESION_TYPE MASS SHAPE OVAL MARGINS OBSCURED
ASSESSMENT 3
SUBTLETY 4
PATHOLOGY BENIGN
TOTAL_OUTLINES 1 
BOUNDARY
ABNORMALITY 2
LESION_TYPE CALCIFICATION TYPE PLEOMORPHIC DISTRIBUTION CLUSTERED
LESION_TYPE MASS SHAPE OVAL MARGINS ILL_DEFINED
ASSESSMENT 5
SUBTLETY 5
PATHOLOGY MALIGNANT
TOTAL_OUTLINES 1 
BOUNDARY