Digital Database for Screening Mammography

Volume: cancer_06 Case: A-1211-1


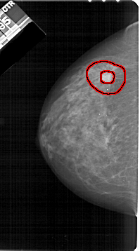
A_1211_1.LEFT_MLO

A_1211_1.RIGHT_MLO

A_1211_1.LEFT_CC

A_1211_1.RIGHT_CC

ics_version 1.0
filename A-1211-1
DATE_OF_STUDY 10 8 1995
PATIENT_AGE 67
FILM
FILM_TYPE REGULAR
DENSITY 3
DATE_DIGITIZED 1 7 1998
DIGITIZER HOWTEK 43.5
SEQUENCE
LEFT_CC LINES 5356 PIXELS_PER_LINE 2971 BITS_PER_PIXEL 12 RESOLUTION 43.5 OVERLAY
LEFT_MLO LINES 5266 PIXELS_PER_LINE 2956 BITS_PER_PIXEL 12 RESOLUTION 43.5 OVERLAY
RIGHT_CC LINES 5176 PIXELS_PER_LINE 2686 BITS_PER_PIXEL 12 RESOLUTION 43.5 NON_OVERLAY
RIGHT_MLO LINES 5491 PIXELS_PER_LINE 2761 BITS_PER_PIXEL 12 RESOLUTION 43.5 NON_OVERLAY

FILE: A_1211_1.LEFT_MLO.OVERLAY

TOTAL_ABNORMALITIES 1
ABNORMALITY 1 
LESION_TYPE MASS SHAPE IRREGULAR MARGINS SPICULATED
ASSESSMENT 5 
SUBTLETY 5 
PATHOLOGY MALIGNANT
TOTAL_OUTLINES 2 
BOUNDARY
	CORE
FILE: A_1211_1.LEFT_CC.OVERLAY

TOTAL_ABNORMALITIES 1
ABNORMALITY 1 
LESION_TYPE MASS SHAPE IRREGULAR MARGINS SPICULATED
ASSESSMENT 5 
SUBTLETY 5 
PATHOLOGY MALIGNANT
TOTAL_OUTLINES 2 
BOUNDARY
	CORE