Digital Database for Screening Mammography

Volume: cancer_07 Case: A-1118-1


A_1118_1.LEFT_MLO

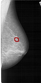
A_1118_1.RIGHT_MLO

A_1118_1.LEFT_CC

A_1118_1.RIGHT_CC

ics_version 1.0
filename A-1118-1
DATE_OF_STUDY 5 6 1991
PATIENT_AGE 65
FILM
FILM_TYPE REGULAR
DENSITY 3
DATE_DIGITIZED 26 5 1998
DIGITIZER HOWTEK 43.5
SEQUENCE
LEFT_CC LINES 4966 PIXELS_PER_LINE 2431 BITS_PER_PIXEL 12 RESOLUTION 43.5 NON_OVERLAY
LEFT_MLO LINES 5116 PIXELS_PER_LINE 2641 BITS_PER_PIXEL 12 RESOLUTION 43.5 NON_OVERLAY
RIGHT_CC LINES 4351 PIXELS_PER_LINE 2101 BITS_PER_PIXEL 12 RESOLUTION 43.5 OVERLAY
RIGHT_MLO LINES 5281 PIXELS_PER_LINE 2611 BITS_PER_PIXEL 12 RESOLUTION 43.5 OVERLAY

FILE: A_1118_1.RIGHT_MLO.OVERLAY

TOTAL_ABNORMALITIES 1
ABNORMALITY 1 
LESION_TYPE MASS SHAPE IRREGULAR MARGINS SPICULATED
ASSESSMENT 4 
SUBTLETY 2 
PATHOLOGY MALIGNANT
TOTAL_OUTLINES 1 
BOUNDARY
FILE: A_1118_1.RIGHT_CC.OVERLAY

TOTAL_ABNORMALITIES 1
ABNORMALITY 1 
LESION_TYPE MASS SHAPE IRREGULAR MARGINS SPICULATED
ASSESSMENT 4 
SUBTLETY 2 
PATHOLOGY MALIGNANT
TOTAL_OUTLINES 2 
BOUNDARY
	CORE