Digital Database for Screening Mammography

Volume: cancer_07 Case: A-1224-1


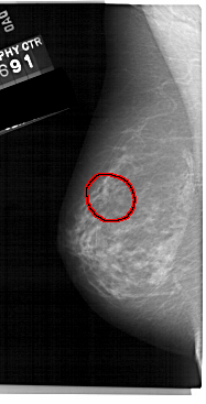
A_1224_1.LEFT_MLO

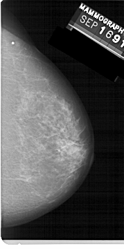
A_1224_1.RIGHT_MLO

A_1224_1.LEFT_CC

A_1224_1.RIGHT_CC

ics_version 1.0
filename A-1224-1
DATE_OF_STUDY 17 9 1991
PATIENT_AGE 57
FILM
FILM_TYPE REGULAR
DENSITY 3
DATE_DIGITIZED 21 7 1998
DIGITIZER HOWTEK 43.5
SEQUENCE
LEFT_CC LINES 5026 PIXELS_PER_LINE 2506 BITS_PER_PIXEL 12 RESOLUTION 43.5 OVERLAY
LEFT_MLO LINES 5491 PIXELS_PER_LINE 2791 BITS_PER_PIXEL 12 RESOLUTION 43.5 OVERLAY
RIGHT_CC LINES 5386 PIXELS_PER_LINE 2671 BITS_PER_PIXEL 12 RESOLUTION 43.5 NON_OVERLAY
RIGHT_MLO LINES 5491 PIXELS_PER_LINE 2926 BITS_PER_PIXEL 12 RESOLUTION 43.5 NON_OVERLAY

FILE: A_1224_1.LEFT_MLO.OVERLAY

TOTAL_ABNORMALITIES 1
ABNORMALITY 1 
LESION_TYPE MASS SHAPE IRREGULAR MARGINS SPICULATED
ASSESSMENT 4 
SUBTLETY 3 
PATHOLOGY MALIGNANT
TOTAL_OUTLINES 1 
BOUNDARY
FILE: A_1224_1.LEFT_CC.OVERLAY

TOTAL_ABNORMALITIES 1
ABNORMALITY 1 
LESION_TYPE MASS SHAPE IRREGULAR MARGINS SPICULATED
ASSESSMENT 4 
SUBTLETY 3 
PATHOLOGY MALIGNANT
TOTAL_OUTLINES 1 
BOUNDARY