Digital Database for Screening Mammography

Volume: cancer_07 Case: A-1237-1


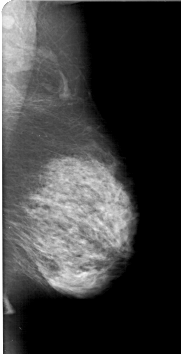
A_1237_1.LEFT_MLO

A_1237_1.RIGHT_MLO

A_1237_1.LEFT_CC

A_1237_1.RIGHT_CC

ics_version 1.0
filename A-1237-1
DATE_OF_STUDY 28 7 1995
PATIENT_AGE 46
FILM
FILM_TYPE REGULAR
DENSITY 4
DATE_DIGITIZED 23 7 1998
DIGITIZER HOWTEK 43.5
SEQUENCE
LEFT_CC LINES 6526 PIXELS_PER_LINE 3106 BITS_PER_PIXEL 12 RESOLUTION 43.5 OVERLAY
LEFT_MLO LINES 6121 PIXELS_PER_LINE 3391 BITS_PER_PIXEL 12 RESOLUTION 43.5 OVERLAY
RIGHT_CC LINES 6091 PIXELS_PER_LINE 3061 BITS_PER_PIXEL 12 RESOLUTION 43.5 NON_OVERLAY
RIGHT_MLO LINES 6361 PIXELS_PER_LINE 3256 BITS_PER_PIXEL 12 RESOLUTION 43.5 NON_OVERLAY

FILE: A_1237_1.LEFT_MLO.OVERLAY

TOTAL_ABNORMALITIES 1
ABNORMALITY 1 
LESION_TYPE MASS SHAPE IRREGULAR MARGINS SPICULATED
ASSESSMENT 5 
SUBTLETY 5 
PATHOLOGY MALIGNANT
TOTAL_OUTLINES 1 
BOUNDARY
FILE: A_1237_1.LEFT_CC.OVERLAY

TOTAL_ABNORMALITIES 1
ABNORMALITY 1 
LESION_TYPE MASS SHAPE IRREGULAR MARGINS SPICULATED
ASSESSMENT 5 
SUBTLETY 5 
PATHOLOGY MALIGNANT
TOTAL_OUTLINES 1 
BOUNDARY