Digital Database for Screening Mammography

Volume: cancer_08 Case: A-1465-1


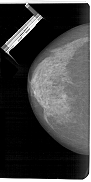
A_1465_1.LEFT_MLO

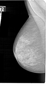
A_1465_1.RIGHT_MLO

A_1465_1.LEFT_CC

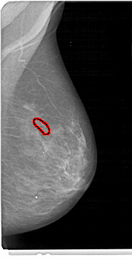
A_1465_1.RIGHT_CC

ics_version 1.0
filename A-1465-1
DATE_OF_STUDY 13 4 1993
PATIENT_AGE 78
FILM
FILM_TYPE REGULAR
DENSITY 3
DATE_DIGITIZED 23 10 1998
DIGITIZER HOWTEK 43.5
SEQUENCE
LEFT_CC LINES 5491 PIXELS_PER_LINE 2746 BITS_PER_PIXEL 12 RESOLUTION 43.5 NON_OVERLAY
LEFT_MLO LINES 5491 PIXELS_PER_LINE 2911 BITS_PER_PIXEL 12 RESOLUTION 43.5 NON_OVERLAY
RIGHT_CC LINES 5416 PIXELS_PER_LINE 2701 BITS_PER_PIXEL 12 RESOLUTION 43.5 OVERLAY
RIGHT_MLO LINES 5491 PIXELS_PER_LINE 2776 BITS_PER_PIXEL 12 RESOLUTION 43.5 OVERLAY

FILE: A_1465_1.RIGHT_MLO.OVERLAY

TOTAL_ABNORMALITIES 1
ABNORMALITY 1 
LESION_TYPE CALCIFICATION TYPE FINE_LINEAR_BRANCHING DISTRIBUTION LINEAR
ASSESSMENT 5 
SUBTLETY 3 
PATHOLOGY MALIGNANT
TOTAL_OUTLINES 1 
BOUNDARY
FILE: A_1465_1.RIGHT_CC.OVERLAY

TOTAL_ABNORMALITIES 1
ABNORMALITY 1 
LESION_TYPE CALCIFICATION TYPE FINE_LINEAR_BRANCHING DISTRIBUTION LINEAR
ASSESSMENT 5 
SUBTLETY 3 
PATHOLOGY MALIGNANT
TOTAL_OUTLINES 1 
BOUNDARY