Digital Database for Screening Mammography

Volume: cancer_08 Case: A-1467-1


A_1467_1.LEFT_MLO

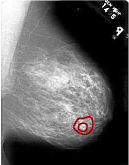
A_1467_1.RIGHT_MLO

A_1467_1.LEFT_CC

A_1467_1.RIGHT_CC

ics_version 1.0
filename A-1467-1
DATE_OF_STUDY 14 11 1995
PATIENT_AGE 40
FILM
FILM_TYPE REGULAR
DENSITY 3
DATE_DIGITIZED 10 11 1998
DIGITIZER HOWTEK 43.5
SEQUENCE
LEFT_CC LINES 6196 PIXELS_PER_LINE 3496 BITS_PER_PIXEL 12 RESOLUTION 43.5 NON_OVERLAY
LEFT_MLO LINES 6331 PIXELS_PER_LINE 3781 BITS_PER_PIXEL 12 RESOLUTION 43.5 NON_OVERLAY
RIGHT_CC LINES 6871 PIXELS_PER_LINE 4786 BITS_PER_PIXEL 12 RESOLUTION 43.5 OVERLAY
RIGHT_MLO LINES 6106 PIXELS_PER_LINE 4771 BITS_PER_PIXEL 12 RESOLUTION 43.5 OVERLAY

FILE: A_1467_1.RIGHT_MLO.OVERLAY

TOTAL_ABNORMALITIES 1
ABNORMALITY 1 
LESION_TYPE MASS SHAPE ARCHITECTURAL_DISTORTION MARGINS SPICULATED
ASSESSMENT 5 
SUBTLETY 1 
PATHOLOGY MALIGNANT
TOTAL_OUTLINES 2 
BOUNDARY
	CORE
FILE: A_1467_1.RIGHT_CC.OVERLAY

TOTAL_ABNORMALITIES 1
ABNORMALITY 1 
LESION_TYPE MASS SHAPE ARCHITECTURAL_DISTORTION MARGINS SPICULATED
ASSESSMENT 5 
SUBTLETY 1 
PATHOLOGY MALIGNANT
TOTAL_OUTLINES 2 
BOUNDARY
	CORE