Digital Database for Screening Mammography

Volume: cancer_08 Case: A-1517-1


A_1517_1.LEFT_MLO

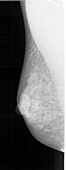
A_1517_1.RIGHT_MLO

A_1517_1.LEFT_CC

A_1517_1.RIGHT_CC

ics_version 1.0
filename A-1517-1
DATE_OF_STUDY 6 5 1993
PATIENT_AGE 70
FILM
FILM_TYPE REGULAR
DENSITY 4
DATE_DIGITIZED 22 9 1998
DIGITIZER HOWTEK 43.5
SEQUENCE
LEFT_CC LINES 4546 PIXELS_PER_LINE 1996 BITS_PER_PIXEL 12 RESOLUTION 43.5 NON_OVERLAY
LEFT_MLO LINES 4876 PIXELS_PER_LINE 1891 BITS_PER_PIXEL 12 RESOLUTION 43.5 NON_OVERLAY
RIGHT_CC LINES 3961 PIXELS_PER_LINE 1831 BITS_PER_PIXEL 12 RESOLUTION 43.5 OVERLAY
RIGHT_MLO LINES 4921 PIXELS_PER_LINE 1831 BITS_PER_PIXEL 12 RESOLUTION 43.5 OVERLAY

FILE: A_1517_1.RIGHT_MLO.OVERLAY

TOTAL_ABNORMALITIES 1
ABNORMALITY 1 
LESION_TYPE CALCIFICATION TYPE PLEOMORPHIC DISTRIBUTION CLUSTERED
LESION_TYPE MASS SHAPE ARCHITECTURAL_DISTORTION MARGINS ILL_DEFINED
ASSESSMENT 5 
SUBTLETY 3 
PATHOLOGY MALIGNANT
TOTAL_OUTLINES 1 
BOUNDARY
FILE: A_1517_1.RIGHT_CC.OVERLAY

TOTAL_ABNORMALITIES 1
ABNORMALITY 1 
LESION_TYPE CALCIFICATION TYPE PLEOMORPHIC DISTRIBUTION CLUSTERED
LESION_TYPE MASS SHAPE ARCHITECTURAL_DISTORTION MARGINS ILL_DEFINED
ASSESSMENT 5 
SUBTLETY 3 
PATHOLOGY MALIGNANT
TOTAL_OUTLINES 1 
BOUNDARY