Digital Database for Screening Mammography

Volume: cancer_09 Case: C-0008-1


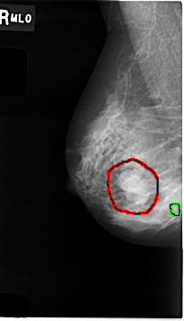
C_0008_1.RIGHT_MLO

C_0008_1.LEFT_MLO

C_0008_1.RIGHT_CC

C_0008_1.LEFT_CC

ics_version 1.0
filename C-0008-1
DATE_OF_STUDY 10 11 1992
PATIENT_AGE 61
FILM
FILM_TYPE REGULAR
DENSITY 3
DATE_DIGITIZED 11 9 1997
DIGITIZER LUMISYS LASER
SEQUENCE
LEFT_CC LINES 4664 PIXELS_PER_LINE 2744 BITS_PER_PIXEL 12 RESOLUTION 50 NON_OVERLAY
LEFT_MLO LINES 4648 PIXELS_PER_LINE 2792 BITS_PER_PIXEL 12 RESOLUTION 50 NON_OVERLAY
RIGHT_CC LINES 4640 PIXELS_PER_LINE 2624 BITS_PER_PIXEL 12 RESOLUTION 50 OVERLAY
RIGHT_MLO LINES 4648 PIXELS_PER_LINE 2672 BITS_PER_PIXEL 12 RESOLUTION 50 OVERLAY

FILE: C_0008_1.RIGHT_MLO.OVERLAY

TOTAL_ABNORMALITIES 2
ABNORMALITY 1
LESION_TYPE MASS SHAPE LOBULATED MARGINS MICROLOBULATED
ASSESSMENT 4
SUBTLETY 5
PATHOLOGY MALIGNANT
TOTAL_OUTLINES 1 
BOUNDARY
ABNORMALITY 2
LESION_TYPE CALCIFICATION TYPE PUNCTATE DISTRIBUTION CLUSTERED
ASSESSMENT 4
SUBTLETY 5
PATHOLOGY BENIGN
TOTAL_OUTLINES 1 
BOUNDARY

FILE: C_0008_1.RIGHT_CC.OVERLAY

TOTAL_ABNORMALITIES 2
ABNORMALITY 1
LESION_TYPE MASS SHAPE LOBULATED MARGINS MICROLOBULATED
ASSESSMENT 4
SUBTLETY 5
PATHOLOGY MALIGNANT
TOTAL_OUTLINES 1 
BOUNDARY
ABNORMALITY 2
LESION_TYPE CALCIFICATION TYPE PUNCTATE DISTRIBUTION CLUSTERED
ASSESSMENT 4
SUBTLETY 5
PATHOLOGY BENIGN
TOTAL_OUTLINES 1 
BOUNDARY